Головна
Cоціологія || Гуманітарні науки || Мистецтво та мистецтвознавство || Історія || Медицина || Науки про Землю || Політологія || Право || Психологія || Навчальний процес || Філософія || Езотерика || Екологія || Економіка || Мови та мовознавство
ГоловнаМедицина → Цитологія, гістологія і ембріологія
««   ЗМІСТ   »»

ПІДШЛУНКОВА ЗАЛОЗА

Підшлункова залоза має трубчасто-альвеолярна будова, розташована каудально від шлунка в брижі S-образного вигину дванадцятипалої кишки. Це заліза з подвійною секрецією: екзокринної і ендокринної. Екзокринної частина підшлункової залози синтезує травний сік, який потрапляє в просвіт дванадцятипалої кишки. Сік підшлункової залози містить ферменти, в тому числі трипсин, хімотрипсин, амілазу, мальтазу, лактазу, ліпазу. Під дією трипсину білки розщеплюються до амінокислот; хімотрипсин створаживаться молоко; амілаза, мальтаза розщеплюють крохмаль до виноградного цукру; лактаза - молочний цукор на глюкозу і галактозу; ліпаза - жири до жирних кислот і гліцерину. Розщеплені, легкорозчинні компоненти всмоктуються в кров і лімфу кишкових судин.

У ендокринної частини підшлункової залози утворюються гормони, що надходять безпосередньо в кров.

Зовні заліза покрита оболонкою з пухкої волокнистої сполучної тканини, що розділяє орган на часточки (рис. 115). У междольковой сполучної тканини виявляють кровоносні судини, вивідні протоки, нервові стовбури, а також інкапсульовані чутливі нервові закінчення.

Основну частину часточки становить екзокринна частина, представлена секреторними відділами - ацинусами, мають фор-

Схема будови підшлункової залози

Мал. 115. Схема будови підшлункової залози:

/ - капсула; 2 секреторні відділи; 3, 4, 5 - вивідні протоки; 6 - кровоносні судини

Будова підшлункової залози

Мал. 116. Будова підшлункової залози:

1 - інсулоцітов острівця Лангерганса; 2 - секреторні відділи екзокринної частини

му альвеолотрубок. Епітеліальний шар секреторних відділів представлений ацинозні клітинами пірамідальної форми. У ацинозной клітці розрізняють базальний полюс, що має темну, базофильную гомогенну структуру. Апікальний полюс клітини світло-рожевого кольору і містить оксифільні гранули зімоге- на. Зимоген - продукт секреторної діяльності ацінозних клітин, що представляє собою неактивний фермент для переробки вуглеводів, білків, жирів.

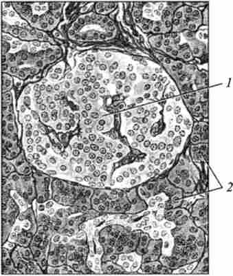
Панкреатичні острівці Лангерганса округлої або полігональної форми - ендокринна частина залози, розташовані всередині дольки серед секреторних відділів. Панкреатичні острівці утворені тяжами епітеліальних клітин - інсулоцітов. Вони мають нечітко окреслені межі, рясно сплетені капілярної мережею (рис. 116). Інсулоцітов поділяють на три типи: а-клітини (продукують глюкагон), р-клітини - (інсулін), «/-клітини (дегенеруючі клітини попередніх типів). Гормони, що регулюють вуглеводний обмін, є антагоністами: глюкагон підвищує вміст цукру в крові, інсулін сприяє затриманню глікогену в печінці, в результаті знижується вміст цукру в крові.

  1. Порфірії - біохімія частина 2.
    До Порфирія відносять групу захворювань, що характеризуються підвищеним виділенням порфиринов (копропорфірін і уропор- Фірін) або їх попередників. Розрізняють два типи норфірій - первинні і вторинні. Первинні порфірії відносяться до ензимопатіях, т. Е. Це спадкові захворювання, при яких порушений
  2. Поняття віку та періодизація процесу розвитку - вікова фізіологія і психофізіологія
    Важливо відмітити Вік - це етап розвитку людини, що характеризується специфічними для нього закономірностями функціонування організму і особистості і відносно стійкими морфофизиологічними і психологічними особливостями. Кожен віковий період проявляється в характерних анатомо-фізіологічних
  3. Поняття про нервізм, принцип детермінізму або причинності - ендокринна і центральна нервова системи, вища нервова діяльність, аналізатори, етологія
    Пристосування до навколишнього середовища здійснюється не за допомогою простих рефлексів, а в результаті безлічі вроджених і набутих реакцій, що утворюють складну систему. Складові цієї системи з'єднані різноманітними зв'язками, а їх реалізація супроводжується психічними явищами. Таким чином,
  4. Полісахариди сполучних тканин - біохімія людини
    До гетерополісахарид, що мають важливе значення для формування і нормального функціонування сполучної тканини, можна віднести гіалуронову кислоту (полімерна ланцюг з чергуються залишками D-глюкуронової кислоти і N-ацетил-О-глюкозаміну). Ще одну групу структурних і захисних полісахаридів складають
  5. Полінуклеотіди - біохімія людини
    Подальше послідовне приєднання мононуклеотидів призводить до утворення полінуклеотидів, окремим випадком яких є ДНК і РНК (рис. 8.21). Синтез нуклеїнових кислот можна записувати коротко, позначаючи нуклеотид / через Nu "де / = 1, 2, 3, 4. Освіта динуклеотид, наприклад для реакції (АМР) + (GMP)
  6. Поділ клітин. Мітоз. Мейоз - нервова система: анатомія, фізіологія, Нейрофармакологія
    митозом називається одна зі стадій клітинного циклу, протягом якого відбувається непрямий поділ клітин. В результаті цього процесу весь спадковий матеріал спочатку подвоюється, а потім рівномірно розподіляється між дочірніми клітинами. Для еукаріотів мітоз є основним способом ділення. Тривалість
  7. Плейотропія генів - генетика в 2 Ч. Частина 1
    До сих пір ми розглядали дію багатьох генів на одну ознаку. Поряд з цим встановлено багато фактів дії одного гена на ряд ознак. Це явище отримало назву плейотропії (від грец. Pleion - численний, tropos - спрямованість). Воно має дуже важливе значення і широко поширене в природі. Плейотропна
  8. Підшлункова залоза. Внутрішня секреція - ендокринна і центральна нервова системи, вища нервова діяльність, аналізатори, етологія
    Підшлункова залоза здійснює зовнішню (екзокринну) і внутрішню (ендокринну) секрецію. Клітини, зібрані в складі ацинусів і проток, секретують травні ферменти і виділяють їх в просвіт кишки. Однак в паренхімі органу розташовується особлива тканина, морфологічно оформлена у вигляді острівців
© 2014-2022  ibib.ltd.ua