Головна
Cоціологія || Гуманітарні науки || Мистецтво та мистецтвознавство || Історія || Медицина || Науки про Землю || Політологія || Право || Психологія || Навчальний процес || Філософія || Езотерика || Екологія || Економіка || Мови та мовознавство
ГоловнаМедицина → Стоматологія. Ендодонтія
««   ЗМІСТ   »»

ПАТОГЕНЕЗ, КЛІНІЧНІ АСПЕКТИ ПАТОЛОГІЧНОЇ АНАТОМІЇ ПУЛЬПІТІВ

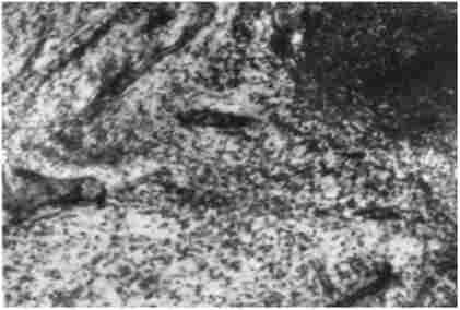
Запалення пульпи починається з гіперемії, освіти вогнищ дрібноклітинний інфільтрації з серозним, потім гнійним ексудатом. Змінюється кровотік, судини розширюються, спостерігається крайове стояння лейкоцитів (рис. 1.2). Накопичується ексудат, відтік якого через маленьке верхівковий отвір кореня зуба утруднений, підвищується тиск в порожнині зуба. Формуються периваскулярні інфільтрати. Одночасно знижується pH середовища до 4,8-5,2. Клінічно це проявляється нападами болю.

Гіперемія і набряк пульпи, крайове стояння лейкоцитів в судинах, 12 ч після травми. Забарвлення гематоксиліном і еозином. Мікрофото, х200

Мал. 1.2. Гіперемія і набряк пульпи, крайове стояння лейкоцитів в судинах, 12 ч після травми. Забарвлення гематоксиліном і еозином. Мікрофото, х200

Гострий вогнищевий пульпіт розвивається протягом 12-24 год і протікає як серозне запалення в проекції дна каріозної порожнини або роги пульпи. Своєчасне втручання ліквідує запалення в початкових сто стадіях. Якщо запалення розвивається далі, через 1-2 доби в судинах утворюються стаз, тромби, з'являються осередки крововиливу, набряк, ексудат стає серозно-гнійним, потім утворюються гнійні вогнища лейкоцитарної інфільтрації, формується пул'парний абсцес (Рис. 1.3).

Формування абсцесу пульпи, першу добу після травми

Мал. 13. Формування абсцесу пульпи, першу добу після травми.

Забарвлення гематоксиліном і еозином. Мікрофото, * 200

Біль посилюється, стає иррадиирущие. Запалення поширюється на кореневу пульпу, і розвивається гострий загальний гнійний пульпіт. Нервові елементи пульпи здавлені ексудатом, роздратовані токсичними продуктами запалення. Біль наростає, стає нестерпним, пульсуючого характеру, іррадіює з гілок трійчастого нерва вже не тільки в нічний час, а й днем. Після розтину роги пульпи при гострому пульпіті і пульпарном абсцессе забезпечується дренаж, ексудат виливається в каріозну порожнину. Гострий біль припиняється і виникає тільки від дії подразників.

Під час препарування каріозної порожнини, коли відбувається ненавмисне розкриття рогу пульпи бором або зондом, оскільки дентину впроваджуються в пульпу, її здавлюють, інфікують і навколо них формується запальний інфільтрат (рис. 1.4).

Осколок дентину в центрі запального інфільтрату, другу добу після травми пульпи. Забарвлення гематоксиліном і еозином

Мал. 1.4. Осколок дентину в центрі запального інфільтрату, другу добу після травми пульпи. Забарвлення гематоксиліном і еозином.

Мікрофото, х200

В шарі одонтобластів спостерігаються міжклітинний і внутрішньоклітинний набряк, осередки некрозу. Колагенові волокна набрякають, фрагментируются. Деструктивні зміни в пульпі мають незворотній характер через 2-3 доби. Пульпіт гострий через 5-7 доби переходить в хронічну форму, або відбувається повне гнійне розплавлення пульпи або її некроз внаслідок порушення кровообігу (рис. 1.5).

Гангрена пульпи, 14-у добу після травми

Мал. 1.5. Гангрена пульпи, 14-у добу після травми.

Забарвлення гематоксиліном і еозином. Мікрофото, хН2,5

для пульпіту хронічного характерний незначний набряк з домінуванням в ексудаті лімфоцитів і плазматичних клітин. Перебіг тривалий, тижні, місяці. Порожнина зуба розкрита або закрита. Хворі відчувають біль тільки від подразників. Продуктивні зміни пульпи носять домінуючий характер, спостерігаються проліферація сполучнотканинних волокон, склероз, зменшення кількості клітинних елементів, одонтобластов. Вогнища клітинного розпаду можуть розсмоктатися, по краю утворюється молода грануляційна тканина, в міру дозрівання якої формуються фіброзна капсула і порожнини. Це може бути результатом консервативного лікування зі збереженням життєздатності пульпи зуба (рис. 1.6).

Порожнина на місці абсцесу, склероз пульпи, 28-у добу після травми. Розкритий ріг пульпи при препаруванні, лікування зі збереженням життєздатності пульпи

Мал. 1.6. Порожнина на місці абсцесу, склероз пульпи, 28-у добу після травми. Розкритий ріг пульпи при препаруванні, лікування зі збереженням життєздатності пульпи.

Забарвлення нікрофуксіном. Мікрофото, х 112,5

Пульпіт хронічний виразковий розвивається при наявності перфорації дна каріозної порожнини. Пульпа в стані запалення, виразкова поверхня покрита некротичним нальотом. У молодих пацієнтів перфорація дна каріозної порожнини призводить до переважання процесів проліферації пульного і заповнення нею каріозної порожнини. Клітини епітелію ясен імплантуються на поверхню розрослася пульпи, формуючи пульпар- ний поліп. Хронічний пульпіт протікає із загостреннями, під час яких посилюються ексудація, набряк і поновлюється гострий зубний біль.

Для літніх людей характерні інволюційні процеси в організмі (за класифікацією Всесвітньої організації охорони здоров'я літніми вважаються люди у віці від 60 до 75 років). відбувається дегенерація пульпи зуба, розвиваються фіброз, сітчаста дистрофія, формуються ден- тіклі. Ускладнюють дегенеративні зміни пульпи хвороби народонта, що характеризуються розладом кровообігу. Дентіклей в пульпі порушують кровотік, при різкій зміні тіла в просторі зміщуються, виникає зубний біль.

некроз (Гангрена пульпи) відбувається в результаті утворення тромбів в судинах, розлади кровообігу, впровадження анаеробної мікрофлори або дії токсичних для пульпи речовин. У пульпі переважають процеси альтерації. Вогнища некрозу і розпаду пульпи мають вигляд безструктурні мас, обмежених від пульпи в стані хронічного запалення демаркаційним валом. Некроз пульпи настає повний або частковий, пульпа залишається в одному або двох кореневих калачі багатокореневих зубів.

Пацієнти, які страждають на пародонтит, можуть не мати каріозних зубів. Мікроби проникають з пародонгальних кишень, що містять гнійнийексудат, в кореневу пульпу через апикальную дельту, викликаючи запалення вначаче в кореневій, потім в коронкової пульпи, розвивається ретроградний пульпіт в интактном зубі.

Призупинити карієс ініціює утворення під дном каріозної порожнини неправильне формування твердих: тканин в пульпі, захисного шару вторинного, іррегулярного, дентину. Патологічне стирання зубів, клиновидний дефект, ерозія емалі, бруксизм (нічний скрегіт зубів), постійні оклюзійні травми також ініціюють утворення вторинного дентину в пульпі, що зменшує обсяг порожнини зуба і призводить до кальцинації кореневих каналів. Патологічна мінералізація створює труднощі ендодонтичного лікування пацієнтів з хворобами пульпи і періапікальних тканин, іноді робить його неможливим.

  1. Периферичний відділ пропріорецепції і вісцеральної чутливості - фізіологія вищої нервової діяльності та сенсорних систем
    Пропріорецепція - здатність людини орієнтуватися в відносному положенні своїх кінцівок, сприймати власні руху і оцінювати опір здійснюються рухам. Джерелом стимулів в разі пропріоцептивної чутливості є саме тіло, в м'язах, сухожиллях і суглобах якого розташовані відповідні пропріорецептори
  2. Периферичні нерви тулуба та кінцівок - нервова система: анатомія, фізіологія, Нейрофармакологія
    У цьому параграфі коротко охарактеризуємо основні нерви тулуба та кінцівок, пов'язані зі спинномозковими нервами (черепні нерви описані в параграфі 5.2). Як вже говорилося, кожен спинномозкової нерв утворюється з двох корінців - виносить, еферентної (переднього) і приносить, аферентного (заднього)
  3. Перфорації виразки шлунка і дванадцятипалої кишки - факультетська хірургія
    Перфорація виразки шлунка або виразки дванадцятипалої кишки (ДПК) зустрічається в кожному п'ятому випадку серед всіх гострих хірургічних захворювань органів черевної порожнини. Показники летальності при цьому ускладненні виразкової хвороби (ВХ) досягають 6-8%. У 10% випадків перфорація виразки
  4. Перетравлення білків - біохімія частина 2.
    Білки, що надійшли в організм з їжею, в шлунково-кишковому тракті (ШКТ) розщеплюються до амінокислот при дії групи протеолітичних ферментів - пептідгідролаз за сучасною номенклатурою; широко відомо їх тривіальне назва - протеази , або протеїнази. Ці ферменти каталізують гідролітичні розщеплення
  5. Перегрупування генів, що кодують важкі ланцюги ig - біохімія частина 2.
    Слід зазначити, що важкі ланцюги імуноглобулінів також складаються з варіабельних і константних областей. Вариабельная область кодується трьома різними типами генів: V H -варіабельний фрагмент (150 генів), Про м -гіперваріабельний (50 генів) і. ^ - з'єднує фрагмент (4 гена). Г) і -фрагмент
  6. Передмова - сестринський догляд в фізіотерапевтичної практиці
    Фізіотерапія - важливий метод лікування, який застосовується при різних гострих і хронічних захворюваннях. Фізіотерапія незамінна в період реабілітації, відновлення після різних захворювань, при профілактиці загострень захворювань, а також як спосіб зміцнення організму, підтримки
  7. Передача спадкової інформації через ДНК вірусів - генетика в 2 Ч. Частина 1
    Паралелізм в поведінці хромосом і генів наштовхнув дослідників на думку зіставити плоїдність (число наборів хромосом) клітин і зміст в них ДНК. В кінці 1940-х рр. А. Мирський і X. Рис показали, що в клітинах різних тканин одного і того ж організму кількість ДНК в розрахунку на гаплоїдний набір
  8. Пенетрантність, експресивність, норма реакції - генетика в 2 Ч. Частина 1
    Розглядаючи дію гена, його алелей, враховують не тільки генні взаємодії, але і дія генів-модифікаторів і модифікуючу дію середовища, в якій розвивається організм. У примули забарвлення квіток рожева (Р_) і біла (рр ) Успадковується по моногібридні схемою, якщо рослина розвивається в інтервалі
© 2014-2022  ibib.ltd.ua