Головна
Cоціологія || Гуманітарні науки || Мистецтво та мистецтвознавство || Історія || Медицина || Науки про Землю || Політологія || Право || Психологія || Навчальний процес || Філософія || Езотерика || Екологія || Економіка || Мови та мовознавство
ГоловнаМедицина → Факультетская хірургія
««   ЗМІСТ   »»

ПЕРФОРАЦІЇ ВИРАЗКИ ШЛУНКА І ДВАНАДЦЯТИПАЛОЇ КИШКИ

Перфорація виразки шлунка або виразки дванадцятипалої кишки (ДПК) зустрічається в кожному п'ятому випадку серед всіх гострих хірургічних захворювань органів черевної порожнини. Показники летальності при цьому ускладненні виразкової хвороби (ВХ) досягають 6-8%. У 10% випадків перфорація виразки супроводжується гострою кровотечею. Прорив ГДЯ може також поєднуватися з пенетрацією виразки в сусідні органи і з формуванням пілородуоденальнol'o стенозу. При шлункової локалізації перфоратівних виразкових дефектів велика ймовірність їх малігнізації.

Перфорируют не тільки хронічні, але і гострі гастродуоденальні виразки. Гострі ГДЯ нерідко спостерігаються у людей, які зазнали великих хірургічних втручань і травм або перебувають в стані сепсису і вираженій інтоксикації. Гострі виразки верхніх відділів шлунково-кишкового тракту розвиваються в надзвичайно короткі терміни і швидко заживають за сприятливого перебігу основного захворювання. Проте перфорація гострої ГДЯ нерідко виявляється безпосередньою причиною смерті.

Перфорація виразки ДПК зазвичай відбувається при її локалізації на передній стінці цибулини органу (рис. 12.1 на кольоровій вкладці).

Клінічна картина перфорації ГДЯ буває:

Прориву виразок часто передує предперфоратівний період (Від декількох днів до 2-3 тижнів), що характеризується ознаками загострення ВХ.

Клінічна картина перфорації ГДЯ залежить від терміну, що пройшов з моменту прориву, і характеризується трьома періодами:

Найбільш виражені симптоми прориву ГДЯ в періоді больового шоку і проявляються раптової інтенсивної «кинджальним» болем, що локалізується у верхніх відділах живота, вираженою хворобливістю в епігастральній ділянці, напругою передньої черевної стінки ( «доскообразний живіт»), симптомами подразнення очеревини вимушеним положенням хворого на боці з приведеними до живота колінами, так як біль в животі посилюється при мінімальної рухової активності.

Зона больових відчуттів при перфоративної ГДЯ поступово може змінюватися через поширення вмісту шлунка і ДПК по черевної порожнини. Найчастіше воно поширюється по правому боковому каналу в праву клубову область.

У міру виснаження больовий рецепції, гальмування в больовому центрі головного мозку, збільшення обсягу ексудату в черевній порожнині і наростання парезу кишечника інтенсивність болю в животі, напруження м'язів передньої черевної стінки і симптоми подразнення очеревини зменшуються - настає так званий період уявного благополуччя.

Заключний період (розлитого перитоніту) перфоративної ГДЯ характеризується розгорнутою клінічною картиною тотального запального процесу в черевній порожнині.

У цей період дослідження живота майже завжди супроводжується виявленням позитивних симптомів подразнення очеревини. Різке здуття живота, стертість перитонеальной симптоматики і виражені явища інтоксикації можуть відзначатися лише в пізній стадії перебігу проривної

ГДЯ. У цей період захворювання шуми перистальтики відсутні або різко ослаблені. Відзначається блідість шкірних покривів, сухість у роті, зменшення діурезу, енцефалопатія або делірій. Виявляються підвищення температури тіла, холодний піт, тахікардія. Частота серцебиття зростає в міру збільшення термінів, що минули з часу перфорації. Відзначається зниження артеріального тиску (АТ).

У клінічному аналізі крові відзначається лейкоцитоз із зсувом лейкоцитарної формули вліво, який може досягати значних цифр (15-20 - 109 крові / л і більше).

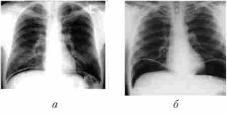
Достовірна ознака перфоративної виразки - вільний газ в черевній порожнині, що можна виявити при оглядовій рентгенографії живота у вертикальному положенні хворого. У цьому випадку вільний газ визначається під діафрагмою (рис. 12.2, а). Якщо хворий не може прийняти вертикальне положення в зв'язку з важким станом, рентгенологічне дослідження живота йому виконують в положенні на лівому боці (рис. 12.3).

Оглядова рентгенографія живота хворого перфоративного виразкою (положення стоячи)

Мал. 12.2. Оглядова рентгенографія живота хворого перфоративного виразкою (положення стоячи):

а - газ під діафрагмою; 6 - збільшення обсягів газу під діафрагмою після фиброгастродуоденоскопии

Оглядова рентгенографія черевної порожнини

Мал. 123. Оглядова рентгенографія черевної порожнини.

Вільний газ в порожнині очеревини (положення хворого на боці -

латеропозіції)

Якщо при клінічній картині перфоративної ГДЯ вільний газ в порожнині очеревини не виявляється, хворому виконується фіброгастродуодено- скопия (ФГДС). При цьому виявляється сама виразка, уточнюються її характер і локалізація, розміри, іноді в дні виразки видно зміщується при диханні стінка сусіднього органу, а після ендоскопії на повторних оглядових рентгенограмах живота виявляється пневмоперитонеум (див. Рис. 12.2, б).

Для диференціальної діагностики перфоративної ГДЯ з гострим холециститом, гострим панкреатитом може використовуватися ультразвукове дослідження (УЗД) живота.

У неясних випадках в якості діагностичної процедури використовується лапароскопія, під час якої виявляється можливим огляд органів черевної порожнини, а також оцінка характеру скупчився в ній вмісту.

Підозра на прорив ГДЯ повинно бути приводом для негайної доставки хворого в хірургічний стаціонар. Знеболюючі засоби не вводяться, так як це може змінити клінічну картину захворювання.

Хворим з проривної ГДЯ виконують такі операції: ушивання виразок, їх висічення в поєднанні з ваготомії і дренирующими шлунок операціями, резекцію шлунка.

ушивання проривної ГДЯ - найбільш швидко здійсненне хірургічне втручання, що часом виявляється вирішальним у спасінні життя пацієнтів з важким перитонітом і (або) серйозними супутніми захворюваннями. Поодинокі вузлові шви нерассасивающіеся або повільно резорбується шовним матеріалом (лавсан, капрон, Вікрам, протоку і ін.) Формуються в поперечному напрямку до осі шлунка і ДПК.

Зазвичай буває достатньо трьох-чотирьох швів. На шлунку обов'язково накладають другий ряд серозно-м'язових швів. На дванадцятипалій кишці другий ряд швів формується лише при виразках невеликих розмірів. При ушивання перфоративної виразки дуоденальної локалізації лінія швів може підкріплюватися пасмом сальника, що прикриває перший ряд швів кишки.

Труднощі ушивання перфоративного отвори виникають при великих виразках з омозолелостей краями і виражених запальних змінах навколо них. У таких випадках шви, що формуються на шлунку, нерідко «прорізуються». Для попередження цього явища застосовується методика Опель - Полікарпова. Вона передбачає введення в перфоративное отвір клаптя сальника на ніжці, прошитого кетгутовой ниткою (таким чином прикривається дефект стінки органу). Сальник фіксується після виведення голки через шлункову стінку недалеко від краю виразки. Потім окремими швами сальник пришивається до стінки шлунка або ДПК по колу виразки (рис. 12.4).

В даний час ушивання перфоративного виразок нерідко здійснюється за допомогою відеолапаросконічної техніки атравматичними голками з монофіламентний нитками. Спосіб застосовується в ранні терміни після перфорації виразки при відсутності великої інфільтрації в її зоні.

показання до резекції шлунка при проривної ГДЯ обмежені. Ця операція застосовується при виразках шлункової локалізації, коли виникає підозра на їх малигнизацию. При виразках ДПК резекція шлунка виконується в тих випадках, коли є відповідні анамнестичні дані, що свідчать про неефективність противиразкової терапії, і интраоперационно виявляють хронічну виразку. Крім того, резекція шлунка може виконуватися МРІ повторних перфораціях дуоденальних виразок після раніше проведених ушивання або ваготомії. Необхідна умова для виконання резекції шлунка при перфоративного гастродуоденальних виразках - здійснення даної операції в реактивної фазі перитоніту.

Ушивання перфоративної виразки вихідного відділу шлунка по Опель - Полікарпову

Мал. 12.4. Ушивання перфоративної виразки вихідного відділу шлунка по Опель - Полікарпову:

а - тампонада зони перфорації сальником; б - фіксація сальника навколо виразки серозно-м'язовими швами

Хірургічне втручання з приводу прориву ГДЯ закінчується санацією та дренуванням черевної порожнини.

У випадках прикритих перфорацій ГДЯ зберігається активна хірургічна тактика. У дуже рідкісних спостереженнях, коли немає можливості здійснити хірургічне втручання з приводу прикритої перфоративної ГДЯ, або при відмові хворого від операції використовується консервативне лікування проривної виразок по Тейлору (заводять зонд в шлунок, аспирируют вміст і створюють негативний тиск, проводять антибактеріальну та антисекреторних терапію). Якщо є випіт в черевній порожнині і зберігаються або наростають перитонеальні явища, що свідчить про неефективність лікування, настійно показано хірургічне втручання.

  1. Планування лікування - стоматологія. Ендодонтія
    План лікування складають після постановки діагнозу, визначають показання та протипоказання лікування на даний момент. Показання до лікування : гострий верхівковий періодонтит пульпарного походження; хронічний верхівковий періодонтит, апикальная гранульома; периапикальную абсцес з порожниною;
  2. Післяпологовий період - кровообіг, дихання, видільні процеси, розмноження, лактація, обмін речовин
    Післяпологовий період включає проміжок часу з моменту виділення посліду до завершення інволюції статевих органів, зворотних змін діяльності статевих та інших органів. У першу добу після пологів у самки нормалізуються пульс, температура тіла, ритм дихання, рухова активність шлунка і кишечника
  3. Пірамідна і екстрапірамідна системи регуляції рухів - нейрофізіологія
    Відносно контролю рухів часто виділяють дві системи: пирамидную і екстрапірамідну. До пирамидной системі відносяться рухові області кори б. п. і починається від них пірамідний (або кортико-спинальний) тракт спинного мозку. Ця система відповідає за контроль довільних усвідомлюваних рухів з
  4. Підшлункова залоза - фізіологія людини і тварин
    Підшлункова залоза розташована в черевній порожнині між шлунком і тонким кишечником. Підшлункова залоза одночасно є залозою внутрішньої і зовнішньої секреції, т. Е. Вона - змішана. Зовнішня секреція цієї залози полягає у виробленні ряду ферментів, необхідних для перетравлювання їжі. Гормони
  5. Підготовка до лікування пацієнтів групи ризику. Премедикація - стоматологія. Ендодонтія
    Пацієнтам в стані психічного та емоційного напруження, з тривожністю, яка супроводжується збільшенням частоти пульсу, порушенням з руховими реакціями, занепокоєнням, необхідно призначати премедикацію перед лікуванням за умови згоди пацієнта. Премедикація включає застосування психотропних і
  6. Період старіння - вікова фізіологія і психофізіологія
    В результаті вивчення даного розділу студент повинен: знати специфіку функціонування організму в період старіння; основні особливості реалізації сенсорних і когнітивних функцій у процесі старіння організму; характеристику емоційної сфери людини в період старіння; основні теорії старіння; сутність
  7. Периферичний відділ зорової системи - фізіологія вищої нервової діяльності та сенсорних систем
    Для зорової системи характерним є досить складний дорецепторпий апарат, представлений оптичною системою ока (рис. 13.1) і різними допоміжними утвореннями. До них відносяться: очне яблуко, в якому розташовані световоспринимающий, светопреломляющий і светорегулірующую апарати; захисні пристосування
  8. Периферична нервова система, контрольні запитання та завдання - цитологія, гістологія і ембріологія
    Периферична нервова система представлена нервами, освіченими нервовими волокнами і гангліями, - скупченням чутливих нейронів по ходу аферентних нервових провідних шляхів. Нерв зовні оточений пухкою волокнистою сполучною тканиною, що утворює оболонку - епіневрій. Від епіневрій вглиб відходять
© 2014-2022  ibib.ltd.ua