Головна
Cоціологія || Гуманітарні науки || Мистецтво та мистецтвознавство || Історія || Медицина || Науки про Землю || Політологія || Право || Психологія || Навчальний процес || Філософія || Езотерика || Екологія || Економіка || Мови та мовознавство
ГоловнаМедицина → Цитологія, гістологія і ембріологія
««   ЗМІСТ   »»

ОДНОШАРОВІ ЕПІТЕЛІЮ

Епітеліальні клітини в одношарових епітелію розташовані на базальній мембрані. Вони покривають поверхні серозних оболонок внутрішніх органів, а також вистилають канальці нирок, слизові оболонки шлунка, тонкого і товстого відділів кишечника, яйцеводов, матки.

Мезотеліом (одношаровий плоский епітелій) розвивається з клітин спланхнотома (несегментірованной мезодерми). Мезотеліом вистилає внутрішню поверхню порожнин (перикардіальну, плевральну, черевну), а також покриває серозні оболонки внутрішніх органів. При переході на органи серозна оболонка утворює брижі, зв'язки, сальники - похідні серозної оболонки. Основу серозної оболонки становить пухка волокниста сполучна тканина, на поверхні якої є мезотелий, що виділяє серозну рідину, що зменшує тертя між органами.

Клітини мезотелію - мезотеліоцітов мають форму багатогранників; цитоплазма забарвлена в коричневий колір; ядра круглі або овальні. Після імпрегнації гістологічних препаратів азотнокислим сріблом при світловій мікроскопії виявляють тонкі лінії чорного або бурого кольору - кордони клітин.

Репаративна регенерація мезотелію супроводжується розподілом і швидким злиттям клітин, тому нерідко зустрічаються двоядерні і багатоядерні клітини. При пошкодженні мезотелий дуже швидко відновлюється шляхом ендомітозу ядер і створенням гігантських клітинних структур. Характерною особливістю є велика кількість піноцитозних бульбашок, активно транспортують сторонні речовини, що надійшли в черевну порожнину.

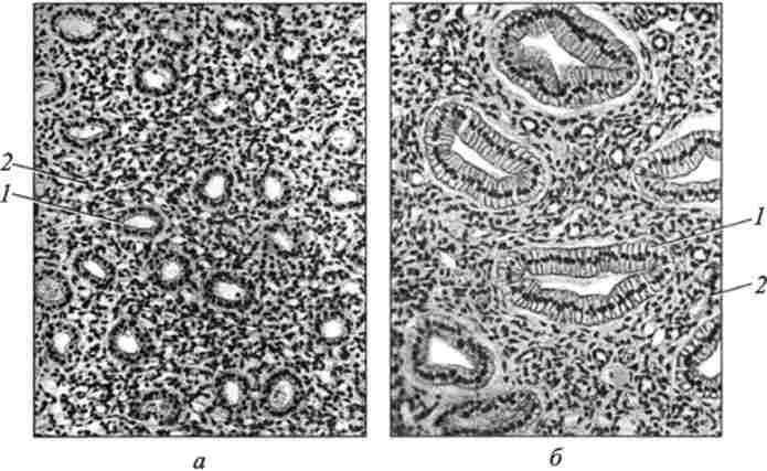
Одношаровий кубічний епітелій вистілаетка- нальци нефрона нирки: клітини кубічної форми розташовані в один шар на базальній мембрані (рис. 28).

Одношаровий призматичний епітелій вистилає слизові оболонки органів, що виконують специализиро-

Одношаровий епітелій ниркових канальців щури. Забарвлення гематоксиліном і еозином; окуляр Хю; об'єктив х40

Мал. 28. Одношаровий епітелій ниркових канальців щури. Забарвлення гематоксиліном і еозином; окуляр Хю; об'єктив х40:

а - низький кубічний; б - високий призматичний; / - епітеліоцити; 2 - сполучна тканина

ванні функції. Клітини епітелію мають призматичну форму, їх висота в кілька разів перевищує ширину, багато мітохондрій, що обумовлюють базальну смугастість епітеліоцитів. Одношарові призматичні епітелії підрозділяються на каймистий, миготливий, залозистий.

Одношаровий призматичний каймистий епітелій вистилає слизову оболонку тонкого відділу кишечника і канальці не- Фрона. На апікальних полюсах клітин є мікроворсинки, що утворюють щіткова облямівку. Поряд з клітинами з щіткової облямівкою є одноклітинні бокаловидні залізисті клітини, що виділяють слиз (див. Рис. 27, в).

Канальці нефрона нирки вистелені двома типами епітелієм: низьким призматичним і високим призматичним. У першому випадку клітини кубічної форми, менш активні в функціональному відношенні, беруть участь в проведенні утворилася сечі до сечовивідних органам. У функціональному відношенні високі призматичні клітини канальців нефрона схожі з Каемчатая епітелієм тонкого відділу кишечника. В канальцях нефрона відбувається реабсорбція - процес зворотного всмоктування води і глюкози в процесі утворення сечі, тому для збільшення площі всмоктування на апікальних полюсах клітин є мікроворсинки.

Одношаровий призматичний миготливий епітелій (Багаторядний) вистилає слизові оболонки трахеї, бронхів, а також яйцеводов, матки.

У миготливого епітелію дихальних шляхів виділяють три типи клітин: високі призматичні миготливі, келихоподібних, низькі і високі вставні клітини. Ядра клітин розташовуються на різних рівнях, завдяки цьому формуються ряди ядер, добре помітні при світловій мікроскопії, тому епітелій називають багаторядним, або псевдомногослойний.

Вставні клітини - камбіальні - мають розширений базальний і звужений апікальний полюса. Високі призматичні миготливі клітини, навпаки, мають звужений базальний полюс і розширений апікальний. Кожна миготлива клітина має близько 250 війок. Рухи війок однієї клітини відбуваються послідовно одне за іншим. Підраховано, що за 1 з ресничка робить 16 ... 17 рухів. Кожен рух - це швидка поступальна і повільна поворотна фази. Одноклітинні келихоподібних клітини виділяють слиз в просвіт органів дихальної системи. Частинки пилу, що потрапили разом з повітрям в дихальні шляхи, осідають на слизовій поверхні миготливого епітелію і рухом війок поступово виштовхуються в носову порожнину.

Одношаровий призматичний миготливий епітелій також вистилає слизову оболонку яйцеводов і матки, рух війок поряд з іншими факторами забезпечує пересування яйцеклітин за цими органам.

Одношаровий призматичний залозистий епітелій вистилає слизову оболонку шлунка, виділяє велику кількість секрету. Таку різновид епітелію ще називають секреторним, а клітини - гландулоцитами.

  1. Основні аспекти регуляції метаболізму - біохімія частина 2.
    Потік речовин, сукупність реакцій, що протікають за різними шляхами обміну речовин, є в живому організмі суворо скоординованими і пристосовані до його потреби. Ці потреби в значній мерс визначаються складом середовища, в якій знаходиться даний організм; крім того, у вищих організмів вони залежать
  2. Основи ферментативної кінетики - біохімія
    Ферментативна кінетика вивчає швидкості реакцій, каталізуються конкретними ферментами. Іншими словами, ферментативна кінетика - це наука, що вивчає закономірності впливу природи реагуючих речовин і супутніх факторів на швидкості ферментативних реакцій. Будова речовин, залучених до хімічні
  3. Орган смаку - цитологія, гістологія і ембріологія
    Рецепторний апарат смакового аналізатора, що сприймає смакові роздратування, знаходиться в смакових цибулинах листоподібних, валіковідних, грибоподібних сосочків мови. Смакові цибулини овальної форми і довжиною близько 20 мкм (рис. 71). Мал. 71. Смакові цибулини валіковідного сосочка мови:
  4. Організація роботи хірургічного відділення стаціонару - факультетська хірургія
    Стаціонарна хірургічна медична допомога посідає особливе місце в системі охорони здоров'я. Це пов'язано з гем, що її надають громадянам при захворюваннях, що потребують спеціальних методів діагностики, лікування, використання складних медичних технологій із залученням великого обсягу матеріальних,
  5. Органи ротової порожнини - цитологія, гістологія і ембріологія
    Органи ротової порожнини (губи, ясна, щоки, тверде і м'яке піднебіння, мигдалини, мова з смаковими сосочками, слинні залози і зуби) аналізують смак корму, роздрібнюють, зволожують його, слиною і переміщують в глотку. У ротовій порожнині розрізняють щелевидное переддень і власне ротову порожнину,
  6. Опіки. Відмороження. Перша медична допомога. Догляд за гнійними хворими, класифікація опіків - сестринська справа в хірургії
    Основні питання глави 1. Поняття про опіки, класифікація опіків. Перша медична допомога при опіках. 2. Поняття про відмороженні. Перша медична допомога при відмороженнях. 3. Види кровотеч. Поняття внутрішнього та зовнішнього кровотеч. Способи зупинки кровотечі (тимчасові і остаточні). 4. Способи
  7. Олігосахариди - біохімія людини
    (Від грец. «Oligos» - малий, нечисленний) - з'єднання, молекули яких побудовані з моносахаридів, що з'єднуються ефірними кисло род-Глікозидний зв'язками, причому число залишків моносахаридів в молекулах олігосахаридів не перевищує 10. Утворюються в реакції етерифікації з відщепленням води
  8. Окислення жирних кислот - біохімія частина 2.
    Окислювальне розщеплення жирних кислот - універсальний біохімічний процес, що протікає у всіх видах живих організмів. У ссавців цей процес відбувається в багатьох тканинах, в першу чергу в печінці, нирках, серцевому та скелетних м'язах. У клітці окислення жирних кислот локалізовано в матриксі
© 2014-2022  ibib.ltd.ua