Головна
Cоціологія || Гуманітарні науки || Мистецтво та мистецтвознавство || Історія || Медицина || Науки про Землю || Політологія || Право || Психологія || Навчальний процес || Філософія || Езотерика || Екологія || Економіка || Мови та мовознавство
ГоловнаМедицина → Вікова анатомія і фізіологія. Т.2. Опорно-рухова і вісцеральні системи
««   ЗМІСТ   »»

СКЕЛЕТ КІНЦІВОК

Скелет верхніх і нижніх кінцівок поділяють на пояс кінцівки (плечовий і тазовий) і скелет вільної кінцівки (рука і нога) (див. Рис. 7.6).

скелет плечового пояса складається з двох парних кісток - лопатки і ключиці. Лопатка має поздовжній гребінь - ость, який закінчується відростком, що створює суглоб з ключицею. На зовнішньому куті лопатки є суглобова западина для зчленування з голівкою плечової кістки.

скелет вільної верхньої кінцівки складається з плечовий кістки, кісток передпліччя {променевої і ліктьовий) і кисті. Головка плечової кістки зчленовується з лопаткою в плечовому суглобі, а в нижній своїй частині утворює ліктьовий суглоб з кістками передпліччя: ліктьовий, розташованої по лінії мізинця,

Суглоби верхньої (а - в) і нижньої (г - е) кінцівок

Мал. 7.19. суглоби верхньої (А - в) і нижньої (Г - е) кінцівок:

а - плечовий суглоб; б - променезап'ястковий суглоб; в - суглоби пальця; г - тазостегновий суглоб; д - колінний суглоб; е - рентгенограма колінного

суглоба шестирічної дівчинки і променевої - по лінії великого пальця (рис. 7.19). Нижній кінець променевої кістки утворює променезап'ястковий суглоб з трьома кістками верхнього ряду зап'ястя. Кисть утворюють кістки зап'ястяу п'ясті і фаланг пальців. Зап'ясті включає вісім кісток, розташованих в два ряди. П'ясток утворена п'ятьма трубчастими кістками. Скелет пальців складається з фаланг: перший палець має дві фаланги, решта - по три.

Пояс нижніх кінцівок утворений парними тазовими кістками і хрестцем. Кожна тазова кістка складається з зрощених клубової, сідничної і лонної кісток. У місці, де вони зійшлися утворюється вертлужная западина, куди входить голівка стегна, формуючи тазостегновий суглоб. На поверхні клубової кістки є суглобова поверхня для зчленування з хрестцем. Права і ліва лонні кістки з'єднуються спереду, утворюючи лонное зчленування (Полусустав).

скелет вільної нижньої кінцівки складається з стегна, гомілки і стопи. Нижній кінець стегнової кістки має суглобові поверхні для зчленування з надколенником і великогомілкової кісткою - утворюється колінний суглоб.

Скелет гомілки складається з великогомілкової і малогомілкової кісток. Верхній кінець великогомілкової кістки бере участь в утворенні колінного суглоба і зчленовується з стегнової кісткою. Нижче на великогомілкової кістки розташована суглобова майданчик для зчленування з малогомілкової кісткою. Нижній кінець великогомілкової кістки з'єднується з таранної кісткою. Її суглобова поверхня на зовнішній стороні з'єднується з поверхнею малогомілкової кістки. Нижні кінці малогомілкової і великогомілкової кісток утворюють з таранної кісткою гомілковостопний суглоб.

стопа складається з Передплесно, плесна і фаланг пальців. сім кісток Передплесно розташовані в два ряди. Плюсна містить п'ять трубчастих кісток. Скелет першого пальця стопи складається з двох фаланг, а інших - з трьох.

У розвитку скелета кінцівок можна виділити хрящову і кісткову стадії. В ембріогенезі кінцівки виникають як парні вирости, на другому місяці розвитку в них з'являються хрящові закладки майбутніх кісток (рис. 7.20; див. Рис. 7.14; 7.15). Всі кістки пояса верхніх кінцівок, за винятком ключиці, проходять хрящову стадію. У сполучнотканинною закладці ключиці відразу виникає кісткова тканина. Процес окостеніння, розпочавшись на шостому тижні внутрішньоутробного розвитку, майже повністю закінчується до моменту народження дитину-

а Б В

Мал. 7.20. Розвиток верхньої кінцівки ембріона людини (послідовні стадії):

а - 48 діб; 6 - 51 добу; в - 56 діб

ка. Лише грудини кінець ключиці у новонародженого не має кісткового ядра. Воно з'являється тільки до 16-22 років, а зрощення його з тілом ключиці відбувається до 25 років. У більшості кісток вільних верхніх кінцівок перші ядра окостеніння виникають в диафизах протягом вто- рого-третього місяців ембріонального розвитку. Епіфізи заміщуються кістковою тканио вже після народження: в променевої кістки - в півтора року, в п'ясті і фалангах пальців - в два-три роки, в ліктьової кістки - в п'ять років. У кістках зап'ястя множинні точки окостеніння з'являються після народження: від чотирьох-п'яти місяців до 2-11 років (рис. 7.21).

За часом появи центрів окостеніння в кисті визначають «кістковий вік». Окостеніння хрящів зап'ястя починається на першому році життя в головчатой і крючковидной кістках, в два-три роки - в тригранної, в три-чотири - в півмісяцевою, в чотири-п'ять ліг - в човноподібної, в чотири - шість - в багатокутної великий і в 7-15 років - в гороховидной. Сесамовідние кістки в першому п'ястно-фаланговом суглобі з'являються в 12-15 років. У 15-18 років нижній епіфіз плечової кістки зливається з її тілом і верхні епіфізи зливаються з тілами кісток передпліччя. Закостеніння епіфізів фаланг відбувається на третьому році життя. Окостеніння закінчується в ключиці, лопатці і в плечової кістки в 20-25 років, променевої кістки - в 21-25, ліктьовий - в 21-24, кістках зап'ястя - в 10-13, п'ясті - в 12, фалангах пальців - в 9 11. Воно закінчується у жінок в середньому на два роки раніше, ніж у чоловіків. Останні центри окостеніння виявляються в ключиці і лопатки в 18-20 років, плечової кістки - 12-14, променевої - 5-7, ліктьовий - 7-8, п'ясткових і фалангах пальців - 2-3 роки. Окостеніння сесамоподібні кісток зазвичай

Розвиток скелета кисті і стогони

Мал. 7.21. Розвиток скелета кисті і стогони:

а - рентгенограми верхньої кінцівки; 6 розвиток скелета кисті; в - розвиток скелета стогони (зачорнені виникають вогнища окостеніння)

починається в період статевого дозрівання: у хлопчиків в 13-14 років, а у дівчаток - в 12-13. Початок злиття частин першої п'ясткової кістки свідчить про нинішньому статевому дозріванні.

Терміни окостеніння кісток рук повинні враховуватися при навчанні дітей трудовим рухам і фізичним вправам, а також листа і малювання. Наприклад, гімнастика подовжує кисть. Діти не повинні виконувати фізичних вправ і трудових рухів, що порушують нормальний процес окостеніння.

Майже у всіх кістках пояса нижніх кінцівок первинні ядра окостеніння з'являються також в ембріональному періоді розвитку.

Таз новонародженого складається з окремих несросшихся кісток і має форму воронки (рис. 7.22). Його передньозадній розмір більше поперечного. Нижній отвір таза дуже мало. Площина входу розташована більш вертикально, ніж

Розвиток тазової кістки дитини п'яти років

Мал. 7.22. Розвиток тазової кістки дитини п'яти років:

а - внутрішня поверхня; 6 - зовнішня поверхня

у дорослого. Кістки таза інтенсивно ростуть в перші три роки. Точки окостеніння в клубової, сідничної і лобкової кістках з'являються в 3,5-4,5 місяці внутрішньоутробного розвитку. Зрощення всіх трьох кісток таза починається з п'яти - шести років і відбувається до 14-16 років (може тривати до 25 років). Ці терміни необхідно враховувати при трудових рухах і фізичних вправах, особливо важливо це для дівчаток, у яких при різких стрибках з великої висоти і при носінні взуття на високих підборах незрощені кістки таза можуть неправильно зростатися, що призводить до звуження виходу з порожнини малого таза і згодом ускладнює пологи. Затримка росту і ненормальне зрощення кісток таза відбуваються при надмірно тривалому і неправильному сидінні або стоянні, переміщення вантажів, особливо при нерівномірному їх розподілі, і порушеннях харчування.

Розміри таза у жінок більше, ніж у чоловіків. У жінок таз ширший, його просвіт полегшує проходження головки і плечей дитини під час пологів. У чоловіків таз довше і вже жіночого, кістки більш масивні, раесчітание на велике навантаження (див. Рис. 7.22, а, в).

Після народження форма і розмір таза змінюються під впливом різних факторів: тиску маси тіла і органів черевної порожнини, м'язів, головки стегнової кістки, статевих гормонів і т. Д. В результаті цих впливів збільшується переднезадний діаметр таза (від 2,7 см - у новонародженого до 8,5 см в шість років і 9,5 см - в 12 років), зростає його поперечний розмір, який в 13-14 років стає таким же, як і у дорослих; поперечний переріз таза стає овальним. Після дев'яти років відзначаються відмінності у формі тазу у хлопчиків і дівчаток.

У кістках вільної нижньої кінцівки - стегнової і великогомілкової - епіфізи, звернені до колінного суглобу, починають костеніти ще у внутрішньоутробному періоді. Це є показником доношенности дитини. Зрощення епіфізів з діафізом настає лише в 15-20 років.

У стегнової кістки новонародженого кістковим є тільки діафіз, а інші її частини складаються з хряща. Діа- фізи і епіфізи довгих кісток зростаються з 18 до 24 років. Надколінок набуває форму, характерну для дорослого, до 10 років. Стегнова, великогомілкова і малої гомілкових кістки остаточно окостеневают до 20-24 років, плеснові - до 17-21 у чоловіків і до 14-19 у жінок, фаланги - до 15-21 у чоловіків і до 13-17 років у жінок. З семи років у хлопчиків швидше ростуть ноги. Найбільшою довжини по відношенню до довжини тулуба ноги досягають у хлопчиків до 15 років, а у дівчаток - до 13.

У стопі виникає кілька вогнищ окостеніння (див. Рис. 7.21). Лише в човноподібної, кубовидної і клиноподібних кістках Передплесно вони утворюються вже після народження в період від трьох місяців до п'яти років.

Кістки стопи людини утворюють звід, який спирається на п'яткову кістку і на передні кінці плеснових кісток. Його формування відбулося у людини в результаті прямоходіння. Загальний звід стопи складається з двох основних склепінь: поздовжнього і поперечного. Для формування повноцінної стопи велике значення має розвиток м'язів, особливо тих, які утримують поздовжній і поперечний склепіння стопи (по ним рівномірно розподіляється вага тіла). Звід стопи захищає від тиску м'язи, судини і нерви підошовної поверхні. Він діє, як пружина, пом'якшуючи струс і поштовхи тіла під час ходьби. Згладжування зводу розвивається при тривалому стоянні і сидінні, перенесенні важких предметів, при носінні вузької взуття та призводить до плоскостопості.

Таким чином, не тільки в дошкільному, а й в шкільному віці ріст і розвиток скелета ще далеко не закінчені, про що слід пам'ятати педагогам, вихователям і батькам. Меблі, яка не відповідає зросту дитини, незручна або на високих підборах взуття, обмеження рухової активності, неправильне харчування можуть стати причиною наруше-

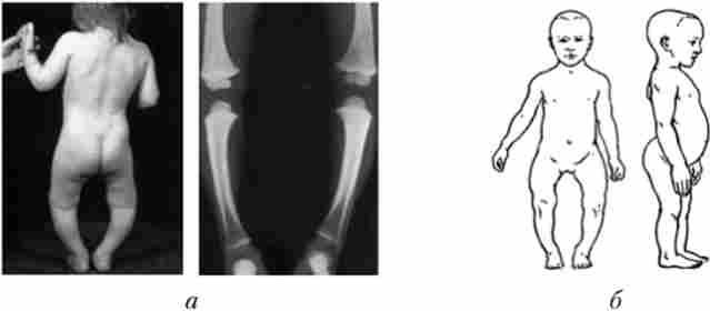
Зміна скелета при рахіті

Мал. 7.23. Зміна скелета при рахіті:

а - викривлення ніг; б - деформація черепа, хребта, грудної клітини

ний формування скелета (рис. 7.23, 7.24), що в свою чергу відбивається на функціях внутрішніх органів. Станом кісткової системи дітей і підлітків можна судити про їх фізичний розвиток.

Суглобова сумка, зв'язки, що оточують суглоб м'язи, а також його форма зумовлюють певну, властиву тільки даному суглобу рухливість, або амплітуду рухів. У здорової людини амплітуда рухів в різних суглобах не однакова, але завжди в межах нормальних коливань, які залежать від його віку, статі, статури. Суглобова сумка і зв'язковий апарат кожного суглоба складаються з сполучнотканинних структур (див. Рис. 7.4, 7.10, 7.19). У нормі вони мають пружністю і еластичністю. Для суглобів кінцівок і хребта у дітей, особливо в ранньому віці, характерні підвищена еластичність

Форма стопи в нормі (1) і при плоскостопості (2)

Мал. 7.24. Форма стопи в нормі (1) і при плоскостопості (2):

а - положення стопи (вид ззаду); б - кістки стопи (бічна проекція); в - стопа (вид знизу); г - розподіл тиску на підошві; д - відбитки

підошов зв'язок, тонша і легко деформується суглобова сумка, яка не здатна обмежувати рухливість суглоба в нормальних межах. М'язи, що оточують суглоб і призводять його в рух, ще не досить розвинені. Все це веде до підвищеної рухливості в суглобах, вони виглядають «розбещеними» в порівнянні з суглобами дорослих і легко перевантажуються при фізичному навантаженні. Ця нормальна надлишкова рухливість швидко зменшується в період старшого дитячого або раннього підліткового віку і повільніше протягом періоду зрілості. Пов'язане з віком зниження мобільності суглобів пов'язують з прогресуючими біохімічними змінами структури колагену, які призводять до підвищення жорсткості компонентів сполучної тканини в суглобах. У жінок (в будь-якому віці) відзначається більш висока ступінь рухливості суглобів в порівнянні з чоловіками аналогічного віку. Слабкість зв'язок і суглобової капсули може привести до передчасного виникнення дегенеративних змін в хрящах суглобів, сухожиллях м'язів і, як наслідок, - до обмеження рухливості людини.

  1. Специфічна динамічна дія їжі - вікова анатомія і фізіологія. Т.2 опорно-рухова і вісцеральні системи
    Після прийому їжі інтенсивність обміну речовин і енергетичні витрати організму збільшуються в порівнянні з їх рівнем в умовах основного обміну. Збільшення обміну речовин і енергії починається через годину після прийому їжі, досягає максимуму через три години і зберігається протягом декількох
  2. Спеціалізовані скоротливі тканини, поперечносмугаста м'язова тканина, серцева м'язова тканина - цитологія, гістологія і ембріологія
    До спеціалізованих скорочувальним тканинам відносять: міо епітеліальні клітини молочних, потових, слинних залоз; скоротливі клітини райдужної оболонки; м'язи, що звужують зіницю. Міоепітеліальние (корзинчаті, зірчасті) клітини мають ектодермальное походження. Вони розташовуються навколо секреторних
  3. Спадкові хвороби людини, хромосомні хвороби - біологія. Частина 1
    У 90-х роках XX ст. запропонована робоча класифікація спадкових хвороб людини, що включає: 1) синдроми, обумовлені хромосомними аномаліями (хромосомні хвороби); 2) хвороби, викликані мутацією окремого гена (генні, або Менделя, хвороби); 3) мультифакторіальні захворювання (МФЗ) як результат
  4. Сон - вікова анатомія і фізіологія
    Незважаючи па значні досягнення нейрофізіології, в поясненні природи сну і його механізмів і зараз існують певні труднощі. Раніше сон пов'язували зі станом спокою, при якому клітини мозку не отримують інформацію. В даний час відомо, що хоча під час спа слабшає або припиняється активна зв'язок
  5. Соматична чутливість - анатомія центральної нервової системи
    В результаті вивчення даного розділу студент повинен: знати будова периферичного ланки систем шкірної і м'язової чутливості; різноманітність типів відповідних рецепторів (больових, дотику і тиску, тепла і холоду; розтягування м'язів, сухожиль і ін.); ієрархію і поділ функцій на рівні центральних
  6. Слуховий аналізатор - ендокринна і центральна нервова системи, вища нервова діяльність, аналізатори, етологія
    Слуховий аналізатор призначений сприймати механічні коливання (звукові хвилі) із зовнішнього середовища, створювані джерелами, що знаходяться на відстані, іноді досить значному, від тварини. Звукопередающей середовищем для наземних тварин є повітря, а для водних тварин - вода, в якій звук
  7. Складні білки - біохімія
    Як правило, ці білки класифікують за небілкова компоненту. Ліпопротеїни складають велику групу складних білків. Ці макромолекули в значних кількостях знаходяться в мітохондріях, з них в основному складається ендоплазматичнийретикулум, їх виявляють і в плазмі крові, і в молоці. Як правило,
  8. Скелет тулуба - вікова анатомія і фізіологія. Т.2 опорно-рухова і вісцеральні системи
    Скелет тулуба, або осьової скелет , складається з хребта і грудної клітки. хребет включає 33-34 хребця: сім шийних, 12 грудних, п'ять поперекових, п'ять зрощених крижових і чотири-п'ять зрощених куприкових (рис. 7.10). Мал. 7.10. Хребет людини і його відділи (вид збоку) У кожному хребці розрізняють
© 2014-2022  ibib.ltd.ua