Головна
Cоціологія || Гуманітарні науки || Мистецтво та мистецтвознавство || Історія || Медицина || Науки про Землю || Політологія || Право || Психологія || Навчальний процес || Філософія || Езотерика || Екологія || Економіка || Мови та мовознавство
ГоловнаМедицина → Факультетская хірургія
««   ЗМІСТ   »»

ОСОБЛИВОСТІ ОБСТЕЖЕННЯ ХВОРИХ З ТРАВМОЮ ГРУДЕЙ І ЖИВОТА

Фізикальне обстеження. Для проникаючих ран швидка оцінка місця входу ранить снаряда визначає необхідність або спостереження, або оперативного лікування. Наприклад, трансаксіальная вогнепальна рана пов'язана з більш високою смертністю і більшою частотою випадків пошкодження серця, судин і спинного мозку. Невірно обраний хірургічний доступ, пропущені пошкодження і необхідність ранньої операції більш часті в групі трансаксіальних поранень в порівнянні з постраждалими, що мають унілатеральні (односторонні) рани. На додаток до цього, пальповані йод шкірою нулі і визначення напрямку ранового каналу допомагають встановити пріоритети і визначити план оперативного лікування.

Незважаючи на те що пневмоторакс або гемоторакс можна виявити при аускультації грудної клітини, деякі автори вказують на можливу неточність одного фізикального обстеження при проникаючих пораненнях грудей. Однак висока прогностичне значення фізикального обстеження для визначення патологічних дихальних звуків не вимагає обов'язкового рентгенівського підтвердження перед початком лікування гемо- або пневмотораксу в екстрених умовах.

Фізикальне обстеження потерпілого з встановленим проникаючим характером поранення може бути корисним для визначення необхідності оперативного лікування або подальшого спостереження. Повторні фізикальні обстеження у гемодинамічно стабільного потерпілого можуть визначити необхідність операції або аргументовано її відкинути.

Рентгенівське обстеження. Точність виявлення гемо- або пневмотораксу суттєво збільшується при рентгенографії грудної клітини. Відсутність патологічних змін при рентгенографії грудної клітини в поєднанні з нормальними даними фізикального обстеження зазвичай досить для оцінки внутрішньогрудних ушкоджень судин зі стовідсотковою чутливістю, що робить прогноз результату травми більш сприятливим. Відсутність змін на рентгенограмі грудної клітини після проникаючого поранення грудей з наступним тригодинним рентгенівським спостереженням також є достатньою підставою підтвердження відсутності гемо- або пневмотораксу.

Деякі опубліковані дані говорять про можливу ефективність прямої рентгенографії для встановлення проникаючого характеру поранення живота або бічних поверхонь, але абсолютно очевидно, що повноцінна інформація може бути отримана при рентгенографії лише в тому випадку, коли будуть виявлені тінь кулі (осколка) або пневмопері- тонеум в поєднанні з клінічними ознаками.

Дослідження рани. У разі локалізації рани на передній стінці живота при первинної хірургічної обробки (ПХО) під місцевою анестезією може бути виявлено пошкодження фасції. Якщо пошкодження фасції не виявлено, то можна обмежитися місцевим лікуванням рани і виписати пацієнта на амбулаторне лікування. Проникаючі рани грудей, задніх і бічних відділів тулуба ніколи не можуть бути повноцінно обстежені місцево, і необхідно використовувати інші діагностичні можливості для уточнення глибини проникнення рани (ранового каналу) і глубжслежащіх пошкоджень.

Ультразвукове дослідження. В останні роки сопографія стала корисним діагностичним дослідженням постраждалих з травмою органів черевної порожнини. Переваги ультразвукового дослідження (УЗД) вже чітко встановлено експертами: неінвазивний, легке виконання практично в будь-яких умовах, в тому числі в реанімаційних; портативність апаратури, можливість частого повторення, швидке досягнення діагностичного ефекту (3-4 хв), особливо у осіб з множинною і поєднаною травмою, при травмах живота у вагітних та ін. Недоліком УЗД виступає те, що позитивний результат дослідження базується на виявленні вільної рідини в черевної порожнини. В руках більшості фахівців з ультразвукового дослідження виявляється мінімум 200 мл рідини. Травми, які не супроводжуються гемоперитонеум, не можуть бути виявлені цим методом. Таким чином, сонографія не стає досить переконливим способом для виключення ушкоджень порожнистих органів. Крім того, УЗД не може бути використано для надійної діагностики пошкоджень паренхіматозних органів. Отже, у гемодинамічно стабільного пацієнта, якому проводиться консервативне лікування травми, в подальшому повинна бути виконана комп'ютерна томографія (КТ).

Ультразвукове дослідження вигідно відрізняється від традиційно використовуваних діагностичних тестів і у гемодинамічно стабільних пацієнтів з травмою живота стає альтернативою діагностичного перитонеального лаважу. На додаток до ультразвукового дослідження методика перитонеального лаважу може бути використана в якості додаткового обстеження у гемодинамічно стабільного пацієнта при наявності сумнівного або негативного результату УЗД з сильним клінічним підозрою на травму внутрішніх органів. Крім того, УЗД більш ефективно з економічної точки зору в порівнянні з перитонеальним лаваж і КТ. В цілому УЗД має чутливість між 73 і 88%.

Діагностичний перитонеальний лаваж. Перитонеальний лаваж як швидкий і точний метод визначення наявності крові в черевній порожнині після травми в хірургічну практику ввів Девід Рут в 1965 р

На сьогоднішній день діагностичний перитонеальний лаваж зазвичай проводять за двома показниками: виключення гемоперитонеума у хворих з нестабільною гемодинамікою при сумнівних результатах УЗД черевної порожнини та виявлення ушкоджень порожнистих органів черевної порожнини. Якщо у хворого з нестабільною або відносно стабільною гемодинамікою на тлі множинної або поєднаної травми виявляють макроскопічні ознаки пошкодження органів черевної порожнини при діагностичному перитонеальному лаваже, подальші обстеження припиняють і виконують екстрену лапаротомію. Така тактика прийнята в багатьох лікувальних установах. Однак навіть при наявності макроскопічних ознак пошкодження органів черевної порожнини приблизно у 30% хворих при лапаротомії виявляють лише клінічно незначущі пошкодження.

Діагностичний перитонеальний лаваж залишається цінним методом дослідження при підозрі на пошкодження порожнистих органів черевної порожнини. Є багато даних про відносно низьку чутливість КТ при таких пошкодженнях. Так, вона не виявляє пошкодження кишечника в 1-5% випадків.

Хибно позитивні результати при діагностичному перитонеальному лаваже часто реєструються у постраждалих з переломами кісток тазу і заочеревинної гематомою.

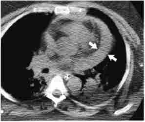
Комп'ютерна томографія. Регулярне використання комп'ютерної томографії (рис. 25.1) для оцінки органів черевної та грудної порожнин спочатку не застосовувалося при травмах, так як для виконання цього виду дослідження були потрібні певні умови: стабільна гемодинаміка пацієнта, транспортування його в спеціально обладнаний кабінет, наявність рентгенолога для розшифровки отриманих знімків , тривалість проведення дослідження та ін. в даний час тривалість сканування при комп'ютерної томографії значно скорочена у зв'язку з використанням з іральних томографів, і метод став визнаною частиною арсеналу діагностики ушкоджень. Точність комп'ютерної томографії у гемодинамічно стабільних пацієнтів з закритими травмами досягає 92-98%.

Однак відзначено, що КТ недостатньо ефективна для діагностики травм брижі і порожнистих органів і, таким чином, не може надійно виключити внутрішньочеревні пошкодження і повинна бути доповнена ДПЛ. Разом з тим КТ має унікальну здатність виявляти клінічно «несподівані» травми.

Комп'ютерна томографія грудної клітини

Мал. 25.1. Комп'ютерна томографія грудної клітини.

Стрілками вказана тампонада перикарда (скупчення крові в перикарді)

Травми грудей і живота можуть бути представлені в різних клінічних варіантах, які залежать від багатьох причин, обговорюваних далі. В умовах зростання травматизму, масових травм, пов'язаних з тероризмом, дорожньо-транспортними пригодами, важливий навик лікаря - вміння швидко орієнтуватися в стані постраждалих з метою прийняття успішного вирішення для вибору того чи іншого виду лікування. Ключовим фактором у цьому сенсі є стан гемодинаміки.

В сучасних умовах оперативне лікування проникаючих поранень грудей у постраждалих з нестабільною гемодинамікою, як правило, проводиться в умовах дефіциту часу, так як їх життєво небезпечних характер диктує виконання швидких і рішучих дій щодо зупинки кровотечі хірургом, які мають досвід в лікуванні подібних травм. Однак у міру накопичення хірургічного досвіду в лікуванні травм грудей і живота збільшується ймовірність застосування малоінвазивних методів лікування такого роду постраждалих, які в майбутньому, ймовірно, знайдуть відповідне місце в стандартах (протоколах) лікувальної допомоги.

Вже зараз за допомогою інтервенційних радіологічних методів можна безпечно лікувати багатьох постраждалих з пошкодженням внутрішньо грудних судин і з успіхом використовувати ці методи для видалення сторонніх тіл, в тому числі з порожнин серця. Пошкодження аорти може бути усунуто за допомогою її стентування. Але малоінвазивні методи повинні застосовуватися тільки у пацієнтів зі стабільним станом гемодинаміки. Таким чином, в даний час традиційні підходи і методи оперативного лікування поки мають мало конкуренції в лікуванні важких поранень в умовах нестабільного стану пацієнтів.

  1. Передмова - фізіологія харчування
    Підручник «Фізіологія харчування» підготовлений відповідно до вимог Федерального державного освітнього стандарту середньої професійної освіти за спеціальністю «Технологія продукції і організація громадського харчування». Фізіологія харчування лежить в основі розвитку науки про харчування людини
  2. Передмова - біохімія людини
    Курс входить до циклу «Загальні математичні та природничі дисципліни». Основні цілі дисципліни: формування кількісних фізико-хімічних методів оцінки ролі біохімічних процесів при проектуванні і експлуатації біотехнічних систем для розробки методів контролю, діагностики, терапії і управління
  3. Перебудови генетичного матеріалу при детермінації клітинних типів у дріжджів - генетика
    Один з небагатьох (якщо не єдиний) прикладів детермінації стосується визначення клітинного типу (типу спарювання) у дріжджів Лгсс / г. сегеутае. Це доводить можливість перебудови генетичного матеріалу в онтогенезі. Як уже згадувалося, у гомоталлічних дріжджів гаплоїдні аско- суперечки - продукти
  4. Пенетрація гастродуоденальних виразок - факультетська хірургія
    Пенетрація виразок шлунка або ДПК відбувається на тлі деструкції всіх шарів стінки шлунково-кишкового тракту в зоні виразкового субстрату. При цьому дном виразки виявляються прилеглі органи черевної порожнини або її стінки. Пенетріру- ющие виразки, як правило, каллезной і щільно спаяні з сусідніми
  5. Патофізіологія холелітіаза - сестринська справа в хірургії
    Розрізняють два типи жовчних каменів: холестеринові камені і пігментні камені. Холестеринові камені повністю складаються з холестерину або ж вони містять понад 90% холестерину, 2-3% кальцієвих солей і 3-5% пігментів, причому білірубін зазвичай знаходиться у вигляді невеликого ядра в центрі
  6. Ознаки, зчеплені з підлогою - генетика в 2 Ч. Частина 1
    Серед багатьох ознак дрозофіли Т. Х. Морган виявив і такі, успадкування яких відхилялося від менделевской схеми. Наприклад, при схрещуванні мух з білими очима (w) і мух зі звичайними темно-червоними очима (w +) були виявлені характерні відмінності результатів реципрокних схрещувань. Два схрещування,
  7. Особливості споживання глюкози і кисню нервовою тканиною - нейрофізіологія
    Головний мозок, що становить не більше 2% від маси тіла, споживає до 20-25% усього вступника в організм кисню, а у новонароджених тварин або людини на дихання головного мозку може витрачатися до 50% загальної кількості кисню, споживаного організмом. Максимальна інтенсивність дихання виявлено
  8. Особливості організації спадкового матеріалу у про- і еукаріот - біологія. Частина 1
    Геном сучасних прокаріотів клітин характеризується відносно невеликими розмірами. У кишкової палички (Е. coli ) Він представлений кільцевою молекулою ДНК довжиною близько 1 мм, яка містить 4 - 10 6 пар нуклеотидів, що утворюють близько 4000 генів. Основна маса ДНК прокаріот (близько 95%) активно
© 2014-2022  ibib.ltd.ua