Організація променевих досліджень складається з визначення показань до використання того чи іншого методу, з вибору конкретної, оптимальної методики рентгенівського, комп'ютерно-томографічного або магнітно-резонансного дослідження стосовно передбачуваної патології хворого. Вибір методу дослідження - прерогатива лікаря, а конкретну методику він погодить з лікарем-рентгенологом. Треба прагнути вибрати дослідження, яке дозволить отримати максимум інформації, вирішити конкретні діагностичні завдання, уникнувши при цьому дублювання одних методів іншими, звівши до мінімуму променеве навантаження на пацієнта.
При необхідності проведення рентгенівської або магнітно-резонансної томографії лікар подає заявку на дослідження хворого до відповідного відділення для визначення терміну діагностичної процедури, вказавши методику і цілі обстеження. Якщо хворому необхідно рентгенівське обстеження, його направляють в рентгенівський кабінет з історією хвороби, в якій лікуючий лікар в епікризі обґрунтовує методику і мета діагностичної процедури.
Алгоритм променевого дослідження при жовтяниці
1. УЗД:
використовується як скринінговий метод виявлення розширеного гепатіко- холедоха, що свідчить про наявність біліарної обструкції і гіпертензії (рис. 5.1, а);
надлишкова маса тіла хворого і газ в кишечнику істотно ускладнюють дослідження, знижують ефективність діагностики, при цьому результати дослідження можуть бути сумнівними і неповними.
неінвазівен високотехнологічна методика МРТ, що дозволяє без використання контрастного посилення візуалізувати в дво- і тривимірному вигляді анатомію гепатобіліарної системи до жовчних проток 4-го порядку, при цьому локалізувати місце обструкції або звуження протоки, оцінивши його стінки в разі холангіокарціноми (рис. 5.1, б);
пряма візуалізація каменів або пухлини, що викликають обструкцію жовчних протоків, виступає сьогодні «золотим стандартом» діагностики (рис. 5.2);
для диференціальної діагностики пухлин використовують динамічне контрастне посилення з отриманням МР-зображень в артеріальну, венозну і рівноважну фази контрастування. Додатково до стандартних послідовностей Т1 і Т2 для виявлення пухлин використовують диффузионно-зважені зображення з коефіцієнтом виваженості b 500 і b 1000 (рис. 5.3).
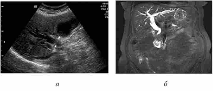
Мал. 5.1.Пухлина загальної жовчної протоки:
а - в ультразвуковому зображенні видно «обрив» жовчної протоки в області його звуження гіперехогенной пухлиною; б - МРТ, тривимірне зображення: кукса конично звуженого пухлиною протоки, проксимальні відділи гепатікохоледоха і печінкові протоки розширені внаслідок біліарної гіпертензії
Мал. 5.2.Механічна жовтяниця. Холедохолітіаз. МРХПГ. На тривимірному зображенні в просвіті загальної жовчної протоки великий гіпоінтенсівний зрощення з ознаками обтікання його жовчю, в повному обсязі обтуруючий просвіт. Різко виражена билиарная гіпертензія
Мал. 53.Рак головки підшлункової залози.
Билиарная і панкреатична гіпертензія. МРТ:
а - на поперечному зрізі пухлина гавкає гіпоінтенсівний МP-сигнал, має горбисті контури і неоднорідну структуру; б - на МРХПГ виявляється розширення панкреатичного і загального жовчних проток з конічним звуженням на кордоні з пухлиною, ознаки біліарної і панкреатичної гіпертензії; в - при спеціальному додатковому дослідженні (ДВІ) новоутворення дає підвищений МР-сигнал,
характерний для пухлини
3. КТ:
висока точність візуалізації не тільки розширеного жовчної протоки, але і виявлення патології в прилеглих структурах, в тому числі в паренхімі і воротах печінці, підшлунковій залозі;
огрядність хворого і велика кількість газу в кишці не перешкоджають дослідженню.
инвазивная методика вибору для точного визначення місця обструкції і розширення біліарної системи;
незважаючи на інвазивність, має ряд переваг в діагностиці наявності і точної локалізації обструкції гепатікохоледоха, а також дозволяє проводити лікувальні маніпуляції, в тому числі розвантажувальне зовнішньо-внутрішнє дренування при вираженій біліарної гіпертензії, балонну дилатацію звужень, взяття біоптату, витяг каменів, постановку ендопротезів;
при відпрацьованої методики процедура безпечна, разом з тим нс виключені ускладнення у вигляді сепсису, жовчного перитоніту і кровотечі.
Слід пам'ятати, що наведені алгоритми дослідження хворих (в різних розділах підручника) - це не догма. Вони повинні враховуватися при виборі діагностичного шляху, і в той же час в конкретних клінічних ситуаціях в них можуть бути внесені зміни, що враховують стан хворого, терміновість надання допомоги, наявність потоку постраждалих, при якому дослідження можуть бути проведені за життєвими показаннями і в обмеженому обсязі з урахуванням принципу розумної достатності. У цих випадках виконують тільки дослідження, які дозволять виконати ті чи інші термінові лікувальні заходи з порятунку життя потерпілого або гостро хворої пацієнта.
Особливості лікування пацієнтів з іншими хворобами пульпи зуба - стоматологія. Ендодонтія Некроз (гангрена) пульпи супроводжується інфікуванням кореневого каналу анаеробної мікрофлорою. Проводять ендодонтичне лікування аналогічно лікуванню хронічного апікального періодонтиту, в два відвідування і більш. Пацієнтам із супутніми ендокринними (цукровий діабет I типу), аутоімунними
Основний обмін - вікова анатомія і фізіологія. Т.2 опорно-рухова і вісцеральні системи Величина загального обміну залежить від індивідуальних особливостей організму (статі, віку, маси тіла і росту, умов харчування, м'язової роботи, стану ендокринних залоз, нервової системи і внутрішніх органів), а також від умов зовнішнього середовища (температури, атмосферного тиску, вологості
Основні принципи раціонального харчування - фізіологія харчування Практичною реалізацією постулатів теорії адекватного харчування є закони раціонального харчування: 1) баланс енергії, який передбачає адекватність енергії, що надходить з їжею, і енергії, що витрачається в процесах життєдіяльності; 2) задоволення потреби організму в оптимальній кількості і
Основні групи харчових продуктів. Харчовий раціон сучасної людини - фізіологія харчування На сьогодні існує кілька класифікацій харчових продуктів: товароведная, торгова навчальна, за ознакою походження і з точки зору науки про харчування - часто її називають «харчової пірамідою», або «тарілкою». У «тарілці» (рис. 6.1) і «піраміді» (рис. 6.2) зображені основні групи продуктів в
Основи гетерогенного каталізу. Ліполітичні ферменти - біохімія Мал. 6.12. Графік Л ай нуи віра-Берка для визначення До м в реакціях ліполізу крупно-і дрібнодисперсних емульсій: темні гуртки - крупнодіспсрснис емульсії, світлі - дрібнодисперсні; обидві реакції мають приблизно однаковий ші V 'Але різні До м Розглянуті вище принципи відносяться до каталізу,
Організація центральних сенсорних мереж, сенсорне сприйняття - вікова анатомія і фізіологія Регуляція аферентного потоку імпульсів здійснюється на всьому шляху їхнього проходження до кори великих півкуль. Первинна обробка сенсорної інформації відбувається вже на рівні рецепторів і периферичних розгалужень чутливих аферентних волокон. Сукупність рецепторів, стимуляція яких призводить