Головна
Cоціологія || Гуманітарні науки || Мистецтво та мистецтвознавство || Історія || Медицина || Науки про Землю || Політологія || Право || Психологія || Навчальний процес || Філософія || Езотерика || Екологія || Економіка || Мови та мовознавство
ГоловнаМедицина → Факультетская хірургія
««   ЗМІСТ   »»

КІСТИ ПІДШЛУНКОВОЇ ЗАЛОЗИ

помилкові кісти підшлункової залози не мають епітеліальної вистилки, властивої істинним кіста, їх фіброзна оболонка покрита зсередини грануляційною тканиною різного ступеня зрілості, а вміст, як правило, являє собою залишки панкреонекрозу (при парапанкреатічної кістах - некротизированной заочеревиннійклітковини) в стані різного ступеня деградації і гнійного розплавлення , перемішані з панкреатичним секретом. Таким чином, помилкові кісти ПЖ, етіологічно пов'язані з хронічним панкреатитом і становлять більшу частину порожнинних утворень, що відносяться до підшлунковій залозі, найчастіше за своєю суттю виступають хронічними млявими абсцесами. Асептичне протягом помилкових кіст спостерігається відносно рідко.

Кісти, які в більшості класифікацій називаються травматичними, як правило, відносяться до помилкових і являють собою результат переходу гострого панкреатиту травматичного походження в хронічну форму. Так само, як і помилкові кісти іншого походження, вони зазвичай пов'язані з осумкованія і повільним розплавленням вогнищ панкреонекрозу, а в ряді випадків також і з механічним пошкодженням пан креатив і ч ес до го п рото ка.

справжні кісти підшлункової залози, що характеризуються внутрішньою епітеліальної вистилки, зустрічаються набагато рідше помилкових. Вони можуть являти собою вроджену аномалію, т. Е. Порок розвитку залози (по аналогії з вродженими кістами або поликистозом нирок або печінки), або ж бути ретенційними, т. Е. Пов'язаними з порушенням відтоку секрету залози і накопиченням останнього в розширюються вивідних протоках. Типовою формою цього виду кіст виступає так званий кістозний фіброз підшлункової залози, що представляє собою прояв рідкісної системної генетично детермінованої хвороби - муковісцидозу.

Деякі порожнинні освіти підшлункової залози є за своєю природою епітеліальними пухлинами різного ступеня злоякісності. Їх називають кістоми (цістомамі, цистаденома) або проліферуючими кістами.

Нарешті, в надзвичайних випадках порожнинні освіти ПЖ можуть мати паразитарне походження (ехінококові кісти).

Таким чином, серед порожнинних утворень ПЖ, зазвичай іменованих кістами, власне кісти (або справжні кісти) складають дуже невелику частину.

Ці утворення, незважаючи на їх гетерогенність, все ж мають ряд спільних рис, що представляють клінічний інтерес. Так, форма їх в більшості випадків наближається до кулястої, і в залежності від діаметра «кісти» можна поділити на дрібні (до 3 см), середні (3-5 см), великі (5-10 см) і дуже великі, або гігантські (> 10 см).

Залежно від числа порожнинних утворень можна розрізняти поодинокі і множинні «кісти».

За локалізацією кісти можуть ставитися до голівки залози, до тіла або хвоста. Крім того, вони бувають власне панкреатичними, іарапан- креатічними або ж комбінованими, т. Е. Що виходять із тканини залози і іарапанкреатічної клітковини. Останнє має відношення головним чином до помилкових кіста, що представляє собою прояв XII. Залежно від наявності ускладнень розрізняють неускладнені і ускладнені «кісти» ПЖ. Ускладнення (розрив кісти, формування свищів, кровотеча та ін.) Майже завжди пов'язані з хронічним панкреатитом.

Клінічна картина і діагностика. Клінічні прояви порожнинних утворень ПЖ також мають ряд спільних рис, що, цілком ймовірно, послужило підставою до їх штучного з'єднання в хірургічній літературі.

Оскільки багато помилкові і істинні кісти можуть досягати значного обсягу, хворі скаржаться на вибухне в верхньому відділі живота, часто асиметричний, і навіть самі пальпують у себе патологічне утворення. Відзначаються важкість у животі, болі різної інтенсивності (при істинних кістах болю спостерігаються рідко), а також симптоми, пов'язані зі здавленням і зміщенням сусідніх органів, в першу чергу шлунка (відчуття швидкого насичення і тяжкості при прийомі їжі, відрижка, печія).

При пальпації живота в верхньому його відділі може визначатися плотноеластічну, гладке, безболісне або малоболезненное освіту, що розташоване в залежності від локалізації кісти в епігастрії або ж в одному з підребер'ї.

При контрастному рентгенологічному дослідженні шлунково-кишкового тракту іноді виявляється зміщення сусідніх порожніх органів: шлунку, дванадцятипалої кишки з розширенням її «підкови» (при локалізації кісти в голівці), поперечної ободової кишки.

Високою інформативністю відрізняється УЗД, при якому виявляється округле ехонегатівних освіту, обмежене капсулою (рис. 20.16). Дрібні і середніх розмірів порожнинні освіти, що протікають безсимптомно, іноді випадково виявляються при УЗД органів черевної порожнини, виробленому з іншого приводу.

Ультразвукове дослідження. Псевдокісга підшлункової залози

Мал. 20.16. Ультразвукове дослідження. Псевдокісга підшлункової залози

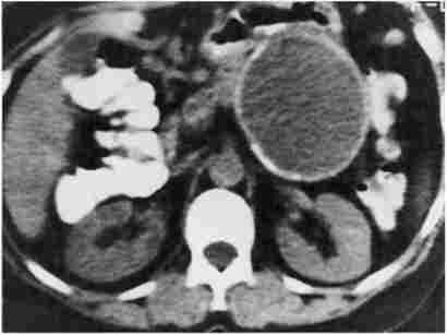
Цінним, хоча і більш дорогим методом діагностики панкреатичних кіст служить КТ, яка доповнює УЗД (рис. 20.17).

Комп'ютерна томографія

Мал. 20.17. Комп'ютерна томографія.

Псевдокиста підшлункової залози

Обидва ці методи допомагають диференціювати кистоподобную освіти ПЖ від кістозного або пухлинного ураження інших поруч розташованих органів, перш за все нирок і надниркових залоз. Під контролем УЗД або КТ здійснюється і діагностична пункція кіст через передню черевну стінку для дослідження їх вмісту (біохімічний аналіз, в тому числі на ферменти підшлункової залози; цитологічне дослідження осаду, мікробіологічне дослідження).

Клінічні прояви кіст і кистоподобную утворень ПЖ різного походження мають свої особливості. Так, для найбільш часто зустрічаються помилкових кіст характерний гострий панкреатит, перенесений в минулому, або анамнез хронічного панкреатиту, поточного з періодичними загостреннями. Більшість хворих з помилковими кістами зловживає алкогольними напоями або ж страждає холелітіазом.

Невеликих розмірів псевдокісти зазвичай не розглядаються як самостійне патологічний стан, а вважаються компонентом порожнинної форми ХП. Великі і гігантські кісти в більшості випадків визначаються пальпаторно і, як правило, болючі, особливо в періоди загострень, коли патологічне утворення може збільшитися в розмірах. При цьому з'являються ознаки загальної запальної реакції (температура, іноді озноб, нездужання, слабкість, гострофазові зміни білої крові, збільшення ШОЕ).

Справжні кісти, що представляють собою вроджену аномалію ПЖ, як правило, безсимптомно до досягнення ними значних розмірів, нерідко бувають множинними і можуть поєднуватися з кістозним ураженням нирок і (або) печінки (поликистозная хвороба).

Ретенційні кісти при кістозному фіброзі ПЖ (муковісцидоз) зазвичай дрібні, множинні і самі по собі мало турбують хворого. Клініка пролиферирующих (пухлинних) кіст розглянута в гл. 21.

Ехінококові кісти підшлункової залози зустрічаються майже виключно у жителів південних регіонів і, як уже згадувалося, зазвичай поєднуються з відповідним поразкою інших органів (печінки, легенів). При УЗД або КТ вміст паразитарної кісти може виглядати неоднорідним через наявність в ній дочірніх ехінококкових бульбашок.

Лікування. Переважна більшість кіст і кистоподобную утворень ПЖ підлягає оперативному лікуванню. Найбільш складним завданням виявляється лікування помилкових кіст, які виступають проявом ХП, оскільки в даному випадку заходи, спрямовані тільки на усунення порожнинного освіти, найчастіше не призводять до мети, а хірургічне лікування основного захворювання пов'язане з труднощами, які розглядалися вище.

Першим завданням при оперативному лікуванні помилкових кіст, в яких за рідкісним винятком тече інфекційно-запальний процес, стає їх розтин через передню черевну стінку, евакуація залишків панкреонекрозу і дренування тим чи іншим способом. У спорожнену порожнину вводиться один або кілька дренажів (часто і тампонів) (рис. 20.18), причому можуть використовуватися системи для постійного або періодичного промивання псевдокісти антисептичними розчинами.

Надалі у частини хворих, у яких порожнина не має стійкого повідомлення з панкреатичним протокою, вона може поступово облітері- роваться. У частині випадків, як уже згадувалося в розділі про лікування ХП, порожнину зберігається і формується панкреатичний свищ, для усунення якого необхідно забезпечення безперешкодного відтоку панкреатичного секрету в шлунково-кишковий тракт.

Зовнішнє дренування помилкової парапанкреатічної кісти

Мал. 20.18. Зовнішнє дренування помилкової парапанкреатічної кісти

З метою ліквідації кіст, порожнину яких підтримувалася завдяки повідомленню її з протоковой системою ПЖ, застосовується так зване внутрішнє дренування кіст шляхом анастомозірованія їх з просвітом шлунка, дванадцятипалої або тонкої кишки (цістогастростомія, цістодуоденостомія, цістоеюностомія з вимкненим з травлення ділянкою тонкої кишки (рис. 20.19 )).

накладення цістоеюноанастомоза

Мал. 20.19. накладення цістоеюноанастомоза

Однак останнім часом ці втручання здійснюються все рідше, оскільки патологічне сполучення між протокою ПЖ і псевдокісти буває вузьким, може періодично закриватися і не забезпечувати ліквідації протоковой гіпертензії, характерною для хронічного панкреатиту. Крім того, при цістогастро- і цістодуоденостоміі можливий закид в кісту шлункового вмісту, що підтримує інфікованість порожнини і перешкоджає її облітерації.

Тому основним сучасним методом лікування псевдокист виступає їх зовнішнє дренування з наступним накладенням широкого ПЕА з виключеною по Ру кишкової петлею (операція Пьюстау-П) при наявності протоковой панкреатичної гіпертензії.

При рідко зустрічаються справжні кістах підшлункової залози рекомендується їх оперативне видалення, часто вимагає резекції частини залози, в якій розташовується кіста, так як відрізнити їх від кістозної пухлини складно.

Останнім часом осущесвляют пункційне лікування кіст під контролем УЗД або КТ. Втім, в даному випадку іноді важко виключити наявність проліферуючих (пухлинних) кіст, безумовно потребують оперативного видалення разом з частиною залози в межах здорових тканин, а лікування помилкових кіст при хронічному панкреатиті таким чином буває неефективно:

Кісти паразитарного (ехінококового) походження оперують за звичайними для цього захворювання правилам (розтин фіброзної капсули, спорожнення і подальше видалення хітинової оболонки). В принципі можлива і «ідеальна» ехінококкектомія, в тому числі з резекцією частини залози. Однак скільки-небудь значний досвід в лікуванні паразитарних панкреатичних кіст відсутня зважаючи на велику рідкості відповідних поразок.

Для заповнення порожнин, що залишаються після видалення великих за розміром кіст різного походження, використовують пластику клаптем великого сальника на живильної ніжці.

  1. Клітинний і молекулярно-генетичний рівні організації життя - основа життєдіяльності організмів, клітина - елементарна одиниця живого, клітинна теорія - біологія. Частина 1
    клітка являє собою відокремлену, найменшу за розмірами структуру, якій притаманна вся сукупність властивостей життя і яка може у відповідних умовах навколишнього середовища підтримувати ці властивості в самій собі, а також передавати їх в ряду поколінь. Клітка, таким чином, несе повну характеристику
  2. Клітинні та молекулярні аспекти біоінженерії, загальна характеристика, основи клітинної інженерії, тварини клітини - біохімія частина 2.
    Біологічна інженерія являє собою сукупність прийомів, спрямованих на модифікацію клітинного синтезу з метою отримання в необхідних кількостях тих чи інших цільових продуктів. Тварини і рослинні клітини, перекладені в культуру, використовуються для багатьох фундаментальних досліджень в якості
  3. Клітинне ядро - анатомія центральної нервової системи
    Ядро - найважливіша структура в клітинах еукаріот. Більшість клітин має одне ядро, але зустрічаються клітини з двома і великою кількістю ядер (наприклад, м'язові клітини скелетної мускулатури). Іноді в процесі розвитку клітина втрачає ядро (наприклад, еритроцити ссавців). Ядро оточене ядерною
  4. Клітина - структурна і функціональна основа життя - біохімія людини
    Сучасна клітинна теорія включає такі основні положення. 1. Клітина - основна одиниця будови і розвитку всіх живих організмів, найменша одиниця живого. 2. У складних багатоклітинних організмах клітини диференційовані (розрізняються) по виконуваної функції і утворюють тканини; з тканин складаються
  5. Клінічна холелитіаза - сестринська справа в хірургії
    У багатьох хворих з жовчними каменями симптоми захворювання можуть бути відсутні, якщо камені тільки почали формуватися або вже утворилися, але відрізняються невеликими розмірами і знаходяться в стані спокою. Ця фаза недуги називається латентною. Жовчні камені можуть бути виявлені при обстеженні
  6. Класифікація вроджених вад розвитку - біологія. Частина 1
    вродженими вадами розвитку називають такі структурні порушення, які виникають в пренатальному онтогенезі, виявляються відразу або через деякий час після народження і викликають порушення функції органу. Останнє відрізняє вроджені вади розвитку органів від аномалій, при яких порушення функції
  7. Класифікація медіаторів, ацетилхолін - нейрофізіологія
    Найчастіше медіатори класифікують за їх хімічною природою. Можна виділити наступні основні групи медіаторів і модуляторів, що діють як в нервовій системі, так і в інших системах організму людини: ацетилхолін (оцтовокислий ефір холіну), моноаміни (похідні амінокислот), амінокислоти, пуринові
  8. Класи антитіл - фізіологія людини і тварин
    Необхідність вирішення «вузьких» імунологічних завдань, специфічних для певних тканин і органів, провела до появи у В-клітин здатності переключати клас продукуються антитіл. При цьому варіабельні ділянки ( «вістря зубців вилки») вже не будуть зачіпатися, і замінюється лише константная область
© 2014-2022  ibib.ltd.ua