Головна
Cоціологія || Гуманітарні науки || Мистецтво та мистецтвознавство || Історія || Медицина || Науки про Землю || Політологія || Право || Психологія || Навчальний процес || Філософія || Езотерика || Екологія || Економіка || Мови та мовознавство
ГоловнаМедицина → Факультетская хірургія
««   ЗМІСТ   »»

ГЕПАТОЦЕЛЮЛЯРНА КАРЦИНОМА

Гепатоцеллюлярная карцинома (ГЦК) - злоякісна пухлина, яка розвивається з гепатоцитів, частіше на тлі хронічних захворювань печінки і цирозу. ГЦК займає 5-7-е місце в структурі онкологічних захворювань в світі і знаходиться в трійці провідних причин смертності від раку. Щорічно реєструється більше 700 тис. Випадків виявлення даної патології, яка призводить до смерті абсолютна більшість хворих протягом року.

Етіологія і епідеміологія. Серед причин, що призводять до розвитку ГЦК, в першу чергу слід відзначити вірусні гепатити В і С. Вбудовування в геном клітин печінки, накопичення мутацій, запальні зміни з подальшим фіброзом паренхіми дозволяють говорити про віруси гепатиту В і С як про канцерогенних факторів.

Захворюваність ГЦК складає близько 10 випадків на 100 тис. Населення в Північній Америці, Західній Європі, Японії. Тут превалює інфікування вірусом гепатиту С, що частково пояснюється витісненням гепатиту В внаслідок вакцинації в дитячому віці, а антитіла до вірусу гепатиту З визначаються приблизно у половини хворих на рак печінки.

В Африці і Південно-Східної Азії зустрічальність ГЦК доходить до 50-150 на 100 тис. Населення, кількість вірусоносіїв гепатиту В в популяції перевищує 20%. У цих групах частота виникнення раку печінки збільшується в 10 разів і більше.

Представлені дані по поширеності вірусних гепатитів в світі і реєстрація випадків виявлення ГЦК мають прямий зв'язок.

Серед інших етіологічних факторів також варто відзначити токсичне ураження печінки (алкоголь, афлатоксин), неалкогольний стеатогепа- тит, спадкову патологію (гемохроматоз, дефіцит а-1 антитрипсину), первинний біліарний цироз. Ризик розвитку ГЦК збільшується при поєднанні етіологічних факторів. Таким чином, різні агенти, що викликають пошкодження клітин печінки з подальшою патологічної регенерацією, виступають потенційними факторами ризику розвитку ГЦК.

Класифікація. Макроскопічно доцільно виділити три типи пухлинного росту (рис. 16.6 на кольоровій вкладці):

Метастазування ГЦК частіше відбувається іітраорганно (по ворітної кровотоку), в регіонарні лімфовузли, легені, головний мозок і кістки. Доведене часом правило, що прогноз визначається стадією захворювання на момент первинної діагностики, відноситься до хворих із злоякісними ураженнями печінки найбільш наочно, так як дозволяє застосувати на ранніх стадіях хвороби потенційно радикальні методи лікування. Загальноприйнята схема стадіроваіія злоякісних пухлин печінки по системі TNM практично збігається з американською системою стадіроваіія AJCC (.American Joint Committee on Cancer).

Міжнародна класифікація ГЦК по системі TNM]:

Т - первинна пухлина:

ТХ - немає даних для оцінки пухлини;

ТО - пухлина не визначається;

Т1 - солітарна пухлина без судинної інвазії;

Т2 - солітарна пухлина з судинної інвазією або множинні пухлини не більше 5 см в найбільшому вимірі;

ТЗ - множинні первинні пухлини, одна з яких більше 5 см, або пухлина, що проростає головну гілку ворітної або печінкової вени;

ТЗА - множинні первинні пухлини, одна з яких більше 5 см;

ТЗЬ - пухлина, що проростає головну гілку ворітної або печінкової вени;

Т4 - пухлина (пухлини) з інвазією в сусідні органи (крім жовчного міхура) або вісцеральний очеревину;

N - регіонарні лімфатичні вузли:

NX - немає даних для оцінки регіонарних лімфатичних вузлів;

N0 - немає ознак ураження регіонарних лімфатичних вузлів;

N1 - метастази в регіонарні лімфатичні вузли (геіатодуоденаль- ная зв'язка);

М - віддалені метастази:

MX - віддалені метастази не можуть бути виявлені;

МО - немає віддалених метастазів;

М1 - є віддалені метастази.

1 Нагадаємо, що автори при написанні підручника використовували Міжнародну класифікацію TNM 2009 г. (сьомий перегляд).

Розподіл за стадіями з цієї класифікації представлено в табл. 16.1.

Таблиця 16.1

Угруповання гепатоцеллюрярних карцином за стадіями

стадія

характеристика по TNM (Див. Прим, на с. 19)

первинна пухлина

регіонарні лімфатичні вузли

віддалені метастази

I

Т 1

N0

МО

II

Т2

N0

МО

Ilia

ТЗА

ЛЮ

МО

III ь

тзь

N0

МО

шс

Т4

N0

МО

I Va

Будь-яка Т

N1

МО

Vb

Будь-яка Т

Будь-яка N

М1

За ступенем диференціювання (G) Виділяють високо-, помірно, низько- і недиференційовані пухлини. Серед несприятливих факторів в прогнозі захворювання більшість авторів виділяють стадію захворювання, стан паренхіми печінки, наявність судинної інвазії і мікро- сателітів, відсутність «капсули», високий рівень альфа-фетопротеїну (АФ11) і низький ступінь гістологічної диференціювання.

Причинами смерті хворих з ГЦК зазвичай стають кровотеча з пухлинних вузлів, печінкова недостатність (частіше у хворих з розвитком пухлини на тлі цирозу), кахексія.

Клінічна картина і діагностика. Основні скарги хворих ГЦК:

Про пізніх стадіях захворювання свідчать поява жовтяниці, асциту, наростання печінкової недостатності, підвищення температури тіла, видиме і пальпируемое збільшення печінки.

При розвитку раку печінки на тлі цирозу в клінічній картині переважають прояви портальної гіпертензії; на злоякісне переродження можуть вказувати неефективність проведеної терапії фонового захворювання, посилення наявної симптоматики.

Цілі обстеження: оцінка стану хворого, точне стадірова- ня захворювання і вибір методу лікування. У клінічному аналізі крові звертають увагу на рівень гемоглобіну, кількість тромбоцитів, зниження яких може пояснюватися гінерснленізмом - проявом циротичного зміни паренхіми печінки і портальної гіпертензії. В біохімічному аналізі крові і коагулограмме визначення рівня білірубіну по фракціях, маркерів цитолізу (АЛТ - аланінамінотранс- фераза, ACT - аснартатамінотрансфераза) і холсстаза (лужна фосфатаза, ГГТП - гамма-глютамілтранспеітідаза), лактатдегідрогенази (ЛДГ), альбуміну, плазмових факторів згортання може свідчити про глибину ураження паренхіми печінки.

Обов'язково дослідження рівня АФП і маркерів вірусних гепатитів, що дозволяють думати про розвиток ГЦК.

Скринінговим методом діагностики ГЦК виступає ультразвукове дослідження (УЗД). Поява вогнища в паренхімі печінки, відмінного по ехогенності від навколишньої тканини, наявність ознак цирозу, збільшення органу в розмірах, зіставлення з клінічними даними і аналізами дозволяють піти по шляху виявлення або виключення пухлини.

Мультиспіральна комп'ютерна томографія (МСКТ) органів грудної клітини та черевної порожнини з внутрішньовенним болюсним контрастуванням - основний неінвазивний метод діагностики, який дозволяє за характером контрастування визначити характер і обсяг ураження печінки, виключити позапечінкових поширення, виявити рецидив захворювання в процесі лікування і оцінити ефективність проведеної терапії. Накопичення контрастного препарату в артеріальну фазу з наступним вимиванням при відстроченому скануванні дозволяють з високою ймовірністю виявити ГЦК.

Магнітно-резонансна томографія печінки з контрастом на основі гадоксетовой кислоти (прімовістом) має найбільшу чутливість та специфічність в діагностиці ГЦК.

Важливим лікувально-діагностичним посібником служить ангіографія, що дозволяє оцінити судинну анатомію печінки, характер васкуляризації і поширеність пухлини, виконати ендоваскулярне втручання.

При виникненні труднощів в процесі діагностики ГЦК з метою морфологічної верифікації діагнозу виконується біопсія новоутворень в печінці під контролем УЗД. Наявність ознак хронічного вірусного гепатиту, цирозу, осередкового новоутворення печінки, виявленого двома різними методами променевої діагностики з контрастуванням, підвищення рівня АФП в динаміці служать вагомим доказом гепатоцелюлярного раку і не вимагають морфологічного підтвердження діагнозу.

Лікування. Радикальні методи лікування. Радикальними методами лікування хворих ГЦК виступають резекція і трансплантація печінки.

резекція. Резекція печінки вважається методом вибору у хворих ГЦК з відсутністю цирозу і протипоказань до оперативного лікування. Однак резектабелиюсть при первинній діагностиці захворювання низька і не перевищує 15-30%. Дослідження в області функціональної анатомії печінки визначили можливість виконання резекції печінки як стандартного втручання. Серед авторів, які зробили значний внесок у розробку цієї проблеми, слід відзначити роботи Ф. Гліссона, описав судинно-секреторні тріади паренхіми, і К. Куіно, котрий обгрунтовував сегментарно будову печінки на основі портального кровопостачання (в поперечному напрямку) і проходження печінкових вен (в поздовжньому напрямку). Куіно виділяє дві частки, п'ять секторів і вісім сегментів печінки (рис. 16.7).

Сегментарна будова печінки по Куіно

Мал. 16.7. Сегментарна будова печінки по Куіно

Необхідні умови виконання операції - наявність досвіду великих втручань на печінці і можливість виконання радикальних резекцій. Адекватний залишається обсяг печінки (не менше 40% при дифузному ураженні паренхіми), збережені приплив і відтік крові, адекватне желчеотведенія - головні аспекти операції.

Показаннями до резекції печінки у хворих з ГЦК виступають пухлина (вузли) в межах однієї анатомічної частки, крайове розташування новоутворень (не більше трьох) при білобарном ураженні, ускладнення з боку пухлини (абсцедирование, кровотеча, інтоксикація), резек- табельну рецидивна пухлина.

Удосконалення хірургічної техніки, доповнення до резекції методів локального впливу скоротили протипоказання до оперативного лікування при наявності інтраорганних метастазів, розширили можливості сучасних паліативних методів у випадках інвазії магістральних судин печінки, зниження її функціональних резервів, що соматичної патології і канцероматоза.

У передопераційному періоді огляд кардіолога, анестезіолога дозволяють провести необхідну коригувальну терапію. Напередодні втручання проводиться очистка кишечника за допомогою проносних (фортране, дюфалак і ін.) І клізм.

В даний час в світі серед гепатохірургов загальноприйнята Брісбенская класифікація резекцій печінки (2000), в основі якої лежать принципи сегментарного будови печінки, розроблені К. Куіно.

Використовувалася в Росії класифікація В. С. Шапкина (табл. 16.3) залишається актуальною і зручною в застосуванні.

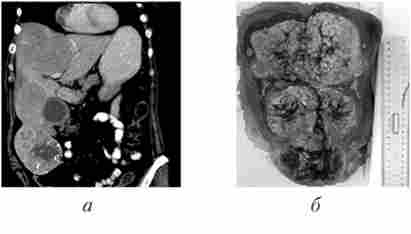
Під розширеної резекцією печінки мається на увазі резекція печінки в більшому обсязі, ніж стандартна анатомічна гемігепатектомія (рис. 16.8).

Таблиця 16.3

Класифікація обсягу резекції печінки В. С. Шапкина (1970)

обсяг резекції

вид операції

великий

Правобічна гемігеіатектомія (ПГГЕ), розширена правобічна гемігеіатектомія (РПГГЕ)

ЛГГЕ (лівостороння гемігеіатектомія), РЛГГЕ (розширена лівобічна гемігепатектомія)

економний

Бісегментектомія

атипова резекція

Розширена резекція печінки

Мал. 16.8. Розширена резекція печінки:

а - комп'ютерна томограма хворий гепатоцелюлярної карциномою; б - віддалений макропрепарат після розширеної правобічної гемігепатектоміі

В післяопераційному періоді звертають увагу на своєчасну екстубацію, ранню активізацію хворих. Допоміжним аспектом виступає стимуляція кишечника, раннє ентеральне харчування, проведення раціональної антибіотикотерапії.

Серед післяопераційних ускладнень слід відзначити печінкову недостатність, кровотеча з поверхні рани, жовчний свищ, жовчний перитоніт, околопеченочний абсцес, реактивний плеврит, нагноєння післяопераційної рани.

Трансплантація. Перша ортотопічна трансплантація печінки (ОТП) була виконана Т. Старзл в 1963 р Однак авторам знадобилося чотири роки, щоб повідомити про першу успішну операцію хворий ГЦК, котра прожила після пересадки більше року. Основною причиною незадовільних віддалених результатів в той час була і довгі роки залишалася неадекватна імуносупресія. Поява сучасних препаратів - інгібіторів кальциневрину - дозволило вирішити цю проблему. У Росії перша ОТП була виконана А. К. Ерамішанце- вим в 1990 р

Пересадка органу диктується наявністю цирротичної трансформації паренхіми і (або) розповсюдженням пухлини в межах Міланських критеріїв:

При цьому відзначено найкращі віддалені результати - п'ятирічне виживання становить 82%.

Виконання ОТП можливо при злагодженому взаємодії великого колективу лікарів (реаніматологів, хірургів, функціональних діагностів, лаборантів та ін.) І середнього медичного персоналу. Операція включає виявлення потенційного донора, діагностику смерті мозку, донорський етап, проведення трансплантації і післяопераційне ведення.

Основні етапи операції: підготовка донорського органу, гепатектомії, реваскуляризация трансплантата (рис. 16.9 на кольоровій вкладці).

Після трансплантації пацієнтові призначається стандартна иммуносупрессия з корекцією доз препаратів (інгібіторів кальциневрину, мікофенолат) згідно їх концентрації і показниками крові.

Серед паліативних методів лікування слід відзначити варіанти локальної деструкції пухлини і внутрішньоартеріальну хіміоемболізація. Системна хіміотерапія малоефективна через наявність гена множинної лікарської стійкості в гепатоцитах.

Паліативні методи лікування. На практиці серед методів локальної деструкції злоякісних новоутворень печінки найбільшого поширення набули радіочастотна абляція (Мірча), мікрохвильова деструкція і кріодеструкція пухлини.

Радіочастотна абляція. Принцип методу - створення коагуляционного некрозу сферичної або довільної форми (при виконанні покрокової стратегії) з метою локальної деструкції пухлини. Застосовуються одиночний або множинні електроди. Його позиціонування в пухлину печінки в основному проводиться під ультразвукової навігацією, черезшкірно і при лапароскопії (лапаротомії).

У ручному або автоматичному режимі при заданої потужності і тривалості від 3 до 10 хв відбувається деструкція тканин, після закінчення процедури температура в зоні впливу досягає 60 ° С і вище. Подібний принцип лежить в основі мікрохвильової деструкції.

Мірча може розглядатися як умовно радикальний метод лікування в комбінації з варіантами регионарной хіміотерапії.

Мірча застосовна при діаметрі пухлини до 3 см, числі вузлів до трьох, білобарном ураженні і цирротичних зміни паренхіми. Мікрохвильова деструкція має перевагу перед Мірча в разі залучення в пухлинний процес стінки магістрального судини печінки.

Кріодеструкція. Метод кріодеструкції заснований на охолодженні аплікатора, яка має контакт з пухлиною, рідким азотом. Створюється локальна зона низької температури (кріонекрозу), що представляє «крижаний» куля або майданчик, що перекривають розміри та межі пухлини. У центрі зона некрозу формується за рахунок утворення льоду і пошкодження структур клітини, на периферії - за рахунок ішемічного ушкодження. Недоліком методу вважається неповна девіталізація пухлинних клітин по периферії, можливі системні коагуляційні розлади, зумовлені ушкодженням тромбоцитів, і складне забезпечення процедури відповідною апаратурою.

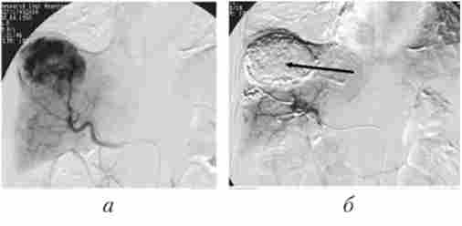
Внутрішньоартеріальна хіміоемболізація. При наявності протипоказань до резекції печінки у хворих МЦД самостійним варіантом лікування виступає внутрішньоартеріальна хіміоемболізація. На тлі цирозу печінки вона може бути альтернативою відкритого втручання. Обгрунтуванням цього виду лікування служить факт переважно артеріального кровопостачання пухлинного вузла з гілок печінкової артерії, в 2-3 рази перевищує «портальний внесок».

Після артеріогепатікографіі і оцінки кровотоку в судини, що живлять пухлину, вводиться емболізат - суспензія масляного контрастного (ліпіодол) і протипухлинного препаратів (доксорубіцин 40-60 мг, мітоміцін 10-15 мг) (рис. 16.10).

Ангіограми печінки хворий ГЦК

Мал. 16.10. Ангіограми печінки хворий ГЦК:

а - селективна ангіограма печінкової артерії, визначається гіперваскулярний вузол у правій частці печінки; б - оглядова рентгенограма, компактне накопичення масляного контрастного препарату в пухлинному вузлі (показаний стрілкою)

Процедура може доповнюватися механічної оклюзії гілок печінкової артерії гемостатичної губкою або металевими спіралями. Створюється пролонговану протипухлинну дію за рахунок ішемії вузла і повільного вивільнення цитостатика в зоні інтересу.

Останнім часом все частіше використовується масляна хіміоемболізація з DcBead - микросферами від 100 до 700 мкм з доксорубіцином. При цьому відзначено істотне збільшення ефективності локального лікування і зниження ризику токсичного пошкодження паренхіми.

Проведення хіміоемболізаціі печінкової артерії у пацієнтів з МЦД, що знаходяться в листі очікування програми ОТП, дозволяє значно уповільнити пухлинний ріст і збільшити період очікування донорського органу.

Інші варіанти локального впливу (ін'єкційна етанолтсрапія, електрохімічний лізис) менш ефективні і можуть призводити до поширення пухлинних клітин по кровотоку в інші ділянки печінки і віддаленому метасга- зирования.

Лікарська терапія і імунотерапія. Ефективність лікарської терапії ГЦК залишається досить низькою. Серед використовуваних препаратів слід зазначити сорафеніб і препарати інтерферону. В даний час йде пошук і розробка нових субстанцій для терапії ГЦК.

Таким чином, хірургічне лікування МЦД в даний час знаходиться на досить високому рівні - від хіміоемболізаціі до великої резекції та трансплантації печінки.

  1. Гомеостатична функція нирок - кровообіг, дихання, видільні процеси, розмноження, лактація, обмін речовин
    Нирки - це основний орган, що забезпечує сталість обсягу і складу внутрішнього середовища, і перш за все крові. Реалізацію гомеостатичної функції здійснюють спеціальні рефлекторні системи, що включають спеціалізовані рецептори (оцінюють об'єм циркулюючої крові - волюмо- рецептори, осморецептори,
  2. Головний мозок - цитологія, гістологія і ембріологія
    Головний мозок - це відділ центральної нервової системи, який є основним регулятором життєвих функцій організму. Він передає виконавчим органам команди про характер відповідних реакцій на роздратування. Головний мозок формується з переднього відділу нервової трубки, яка сильно розростається
  3. Головний мозок. Кінцевий мозок (великі півкулі) - анатомія центральної нервової системи
    В результаті вивчення даного розділу студент повинен: знати загальні анатомічні особливості кінцевого мозку; різноманітність сірого (кора і базальні ядра) і білої речовини; будову і функції базальних ядер; що входять до їх складу структури і їх зв'язку; сучасні уявлення про палео,
  4. Глутамінова кислота - нервова система: анатомія, фізіологія, Нейрофармакологія
    глутамінова кислота (Глутамат) забезпечує передачу збудження але Длінноаксонние волокнам, а нейронів з такими аксонами в ЦНС понад мільйон. Безліч сенсорних волокон, що несуть в ЦНС зорову, слухову, тактильну, больову інформацію, є глутаматергічних. Те ж саме можна сказати і про більшість
  5. Гліколіз - центральний шлях катаболізму глюкози - біохімія
    Основним катаболічсскім процесом деструкції глюкози в клітинах тварин і людини є послідовність ряду реакцій се окислення, в результаті яких в анаеробних умовах глюкоза перетворюється в лактат, а в аеробних - в кінцеві продукти: С0 2 і воду. Нижче наведена біологічна значущість окислювальних
  6. Гіпотези, що пояснюють механізми старіння - біологія. Частина 1
    Геронтологія знає не менше 500 гіпотез, що пояснюють і першопричину, і механізми старіння організму. Переважна більшість їх не витримало перевірки часом і являє чисто історичний інтерес. Деякі автори розглядають старіння як стохастичний процес вікового накопичення «помилок», неминуче трапляються
  7. Гіпокамп - нейрофізіологія
    Гіпокамп отримує основні сигнали від енторінальной кори, а також від зорової, нюхової і слухової систем. Найбільшою провідною системою гіпокампу є звід, який пов'язує його з гіпоталамусом. Крім того, гіпокамп обох півкуль пов'язані між собою коміссуру. Найважливіша функція гіпокампу - участь
  8. Гібридизація нуклеїнових кислот - генетика
    Реакцію гібридизації використовують в генетичної інженерії для створення гібридних молекул ДНК, а також як ефективний метод для виявлення певних послідовностей в ДНК і РНК. Якщо водний розчин ДНК нагріти до температури 96-100 ° С і сильно защелочіть (pH > 13,0), то ДНК дисоціює на окремі ланцюги
© 2014-2022  ibib.ltd.ua