Головна
Cоціологія || Гуманітарні науки || Мистецтво та мистецтвознавство || Історія || Медицина || Науки про Землю || Політологія || Право || Психологія || Навчальний процес || Філософія || Езотерика || Екологія || Економіка || Мови та мовознавство
ГоловнаМедицина → Біологія. Частина 1
««   ЗМІСТ   »»

ГЕНЕРАТИВНІ МУТАЦІЇ

Зміни спадкової програми статевих клітин людини призводять до народження потомства з різними спадково зумовленими хворобами, в залежності від рангу мутацій - генними або хромосомними.

Різні генні мутації по-різному позначаються на життєздатності організму, причому в разі їх рецессивности вони можуть довго не проявлятися фенотипно у нащадків. Хромосомні перебудови і геномні мутації призводять до виражених відхилень у розвитку і часто є причиною загибелі організму на різних стадіях його онтогенезу, зазвичай в ранньому ембріогенезі. Значною мірою саме цими мутаціями визначається високий відсоток (15%) переривання діагностованих вагітностей.

Триплоїд плода, як правило, призводять до переривання вагітності на ранніх стадіях, проте описано дуже невелике число випадків живорождения Триплоїд. анеуплоідія за різними хромосомами зустрічається як в матеріалі абортусов, так і у народжених дітей. Деякі анеуплоідіі несумісні з життям. Так, трісо- мія по 16-й хромосомі виявляється тільки в матеріалі абортусов. У той же час у людини відомі синдроми, пов'язані з аномаліями числа хромосом, що характеризуються різним ступенем життєздатності.

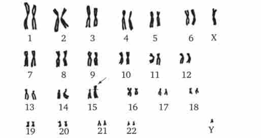
Найбільш частим хромосомним захворюванням у людини є синдром Дауна, обумовлений трисомія по 21-й хромосомі, що зустрічається з частотою 1-2 на 1000 (рис. 4.3). Приблизно в 60%

Синдром трисомії 21 (синдром Дауна)

Мал. 4.3. Синдром трисомії 21 (синдром Дауна).

А - зовнішній вигляд хворого; Б - каріотип хворого

випадків трисомія 21 є причиною загибелі плоду, близько 30% народжених вмирає на першому році життя. Ще 46% не переймається 3-річний рубіж, проте іноді люди з синдромом Дауна доживають до значного віку (рис. 4.4), хоча в цілому тривалість їхнього життя скорочена. Застосування ефективних протимікробних препаратів дозволяє дещо збільшити тривалість життя таких хворих. Трисомія 21 може бути результатом випадкового нерасхожде- ня гомологічниххромосом в мейозі. Поряд з цим відомі випадки регулярної трисомії, пов'язаної з транслокацией 21-ї хромосоми на іншу - 21, 22, 13, 14 або 15-ю хромосому (рис. 4.5).

Жінка з синдромом Дауна у віці 38 років

Мал. 4.4. Жінка з синдромом Дауна у віці 38 років

Каріотип при Транслокаційний синдромі Дауна (одна 21-я хромосома приєднана до 15-й хромосомі - зазначено стрілкою)

Мал. 4.5. Каріотип при Транслокаційний синдромі Дауна (одна 21-я хромосома приєднана до 15-й хромосомі - зазначено стрілкою)

Синдром трисомії 13 (синдром Патау)

Мал. 4.6. Синдром трисомії 13 (синдром Патау).

А - зовнішній вид хворого; Б - каріотип хворого з трисомія в групі D; / - аномалії особи, II - двостороння полісіндактілія стоп

Синдром трисомії 18 (синдром Едвардса)

Мал. 4.7. Синдром трисомії 18 (синдром Едвардса).

А - зовнішній вид хворого; Б - каріотип хворого при трисомії в групі Е;

I - черепно-лицьові аномалії, II- характерне розташування пальців на кистях хворого

Серед інших аутосомних трисомій відомі трисомії по 13-й хромосомі - синдром Патау (Рис. 4.6), а також по 18-й хромосомі - синдром Едвардса (Рис. 4.7), при яких життєздатність новонароджених різко знижена. Вони гинуть в перші місяці життя через множинних вад розвитку. Застосування методів диференціального фарбування хромосом дозволило відкрити три нових синдрому, зумовлених трисомиями по 8, 9 і 22-й хромосомах, при яких також спостерігаються важкі комплексні вади розвитку (рис. 4.8).

Синдром трисомії 8

Мал. 4.8. Синдром трисомії 8.

А - зовнішній вид хворого;

Б - контрактури в межфаланго- вих суглобах кистей

Досить часто у людини зустрічаються анеуплоідіі за статевими хромосомами (Рис. 4.9-4.11). На відміну від анеуплоідіі по ауто- сомам дефекти розумового розвитку у хворих виражені не так чітко, у багатьох воно в межах норми, а іноді навіть вище середнього. Разом з тим у них постійно спостерігаються порушення розвитку статевих органів і гормонозалежного зростання тіла. Рідше зустрічаються пороки розвитку інших систем. Щодо сприятливі наслідки збільшення числа Х-хромосом, мабуть, пов'язані з можливістю компенсації дози відповідних генів завдяки природній генетичної інактивації цих хромосом, а також мозаїчному характеру такої інактивації.

Синдром моносомии X (ХО-синдром, синдром Шерешерского - Тернера)

Мал. 4.9. Синдром моносомии X (ХО-синдром, синдром Шерешерского - Тернера).

А - зовнішній вигляд хворої; Б - каріотип жінки з синдромом ХО; / - виражена трапецієвидна шийна складка, широка грудна клітка, широко розставлені, слаборозвинені соски молочних залоз, II - характерні лімфатичні

набряки на ногах

Каріотип жінки з синдромом трисомії X Рис. 4.11. синдром Клайнфельтера

Мал. 4.10. Каріотип жінки з синдромом трисомії X Мал. 4.11. Синдром Клайнфельтера.

А - зовнішній вид хворого (характерний високий зріст, непропорційно довгі кінцівки); Б - каріотип хворого (XXY)

Серед анеуплоідних синдромів за статевими хромосомами моно- сомія X (ХО) (Синдром Шерешевського - Тернера) Зустрічається багато рідше, ніж трисомия X, синдром Клайнфельтера (XXY, XXXY), а також

XYY, що вказує на наявність сильного відбору проти гамет, що не містять статевих хромосом, або проти зигот ХО. Це припущення підтверджується досить часто спостерігається моносомією X серед спонтанно абортованих ембріонів. У зв'язку з цим допускається, що вижили зиготи ХО є результатом не мейоті- чеського, а митотичного нерасхожденія, або втрати Х-хромосоми на ранніх стадіях розвитку (див. Рис. 4.9). Моносомії Y0 у людини не виявлено.

Організми з анеуплоідіі за статевими хромосомами при наявності Y-хромосоми розвиваються за чоловічим типом і фенотипично дають синдром Клайнфельтера (див. Рис. 4.11). Це є ще одним свідченням на користь розташування фактора, визначає чоловічу тип розвитку в Y-хромосомі.

З синдромів, пов'язаних зі структурними аномаліями хромосом, відомий транслокаційний синдром Дауна (Див. Рис. 4.5), при якому число хромосом в каріотипі формально не змінено і дорівнює 46, так як додаткова 21-а хромосома транслоцироваться на одну з акроцентрічних хромосом. При транслокації довгого плеча 22-ї хромосоми на 9-ю розвивається хронічний мієлолейкоз. При делеции короткого плеча 5-ї хромосоми розвивається синдром котячого крику, при якому спостерігаються загальне відставання в розвитку, низька маса при народженні, місяцеподібне обличчя з широко розставленими очима і характерний плач дитини, що нагадує котяче нявкання, причиною якого є недорозвинення гортані (рис. 4.12).

Синдром хромосоми 5р (синдром «котячого крику»)

Мал. 4.12. Синдром хромосоми 5р (синдром «котячого крику»).

А - зовнішній вид хворого; Б - ділення короткого плеча 5-ї хромосом

У носіїв деяких періцентрічних інверсій нерідко спостерігаються аномалії у вигляді розумової відсталості тій чи іншій мірі і пороків розвитку. Досить часто такі перебудови спостерігаються в 9-й хромосомі людини, однак вони суттєво не впливають на розвиток організму.

Таким чином, порушення спадкової програми організму, що розвивається з аномальних гамет, або мозаїцизм його клітин, пов'язаний з соматичними мутаціями, є причиною або загибелі організму, або більш-менш вираженого зниження його життєздатності.

Питання і завдання для самоконтролю

  1. Гіпотеза функціонального континууму регуляторних пептидів - фізіологія людини і тварин
    Багаторічні дослідження різноманітних взаємозв'язків між регуляторними пептидами (РП) різних сімейств дозволили академіку Ігорю Петровичу Ашмаріна сформулювати гіпотезу функціонального континууму РП. Відповідно до гіпотези, з одного боку, кожен з пептидів володіє унікальними властивостями,
  2. Гіпоталамус - нейрофізіологія
    Гіпоталамус є досить давнім структурою, тому у всіх наземних хребетних його будова приблизно однаково. Чітких кордонів він не має. Є центральним відділом проміжного мозку. У гіпоталамусі розрізняють три зони (рис. 11.4): перивентрикулярна (тонка смужка, прилегла до третього шлуночка), медіальну
  3. Гіпоталамо-гіпофізарна система - вікова анатомія і фізіологія
    У гіпоталамусі ендокринна і нервова системи структурно і функціонально тісно пов'язані один з одним. Гіпоталамус розташований безпосередньо над гіпофізом, з яким з'єднаний ніжкою гіпофіза, в якій проходять кровоносні судини, що зв'язують обидві структури. Клітини гіпоталамуса поєднують в собі
  4. Гіпофіз, гіпоталамо-гіпофізарна система - нейрофізіологія
    Розташований гіпофіз в так звані турецькому сідлі основної кістки черепа і як би висить на ніжці під гіпоталамусом. У ньому розрізняють передню частку ( аденогипофиз ) І задню частку ( нейрогипофиз ). Вони розвиваються з різних ембріональних зачатків. Задня частка гіпофіза в процесі еволюції
  5. Г-хелпери і антиген-презентируют клітини - фізіологія людини і тварин
    Все сказане вище - більш простий «прямий» варіант реакції 5-лімфоцитів на антиген, який спостерігається при високій концентрації останнього. Зрозуміло, що для організму недоцільно дозволяти інфекції заходити настільки далеко. Важливо відреагувати на появу антигену якомога раніше, при його
  6. Генна інженерія. Успіхи і проблеми - біохімія частина 2.
    Ви познайомилися з основними прийомами і способами модифікації генома мікробних, рослинних і тваринних клітин. Для біотехнології велике значення представляє створення суперпродуцентов на основі мікробних і рослинних клітин, здатних синтезувати будь-які білкові речовини, що мають практичне
  7. Генетичний контроль синтезу ДНК - генетика в 2 Ч. Частина 1
    Поява в 1953 р моделі подвійної спіралі ДНК послужило стимулом до зародження нової науки - молекулярної біології. Однак треба було п'ять років, перш ніж були отримані експериментальні підтвердження моделі Уотсона-Кріка в роботах М. Мезелсона і Ф. Сталя. У цих експериментах показано, що реплікація
  8. Генетична трансформація тварин клітин, трансгенні тварини - біохімія частина 2.
    Мал. 31.6. Схема отримання трансгенних мишей Впровадження вірусів в тварини клітини є яскравим прикладом генетичної трансформації останніх в природних умовах. Що стосується штучного введення чужорідних генів в клітини тварин, то вперше це було виконано в 1976 р в США, коли Р. Еніш вмонтував
© 2014-2022  ibib.ltd.ua