Головна
Cоціологія || Гуманітарні науки || Мистецтво та мистецтвознавство || Історія || Медицина || Науки про Землю || Політологія || Право || Психологія || Навчальний процес || Філософія || Езотерика || Екологія || Економіка || Мови та мовознавство
ГоловнаМедицина → Факультетская хірургія
««   ЗМІСТ   »»

ДОБРОЯКІСНІ ПУХЛИНИ ПЕЧІНКИ

Найбільш часто зустрічаються доброякісні новоутворення печінки: гемангіома, аденома і вогнищева вузлова гіперплазія.

Гемангіома. Гемангіома - доброякісна мезенхимальная пухлина, що виникає внаслідок дізембріогенеза судинної системи. Гемапгіо- матоз печінки - патологічний стан, при якому відбувається розвиток судинної пухлинної тканини в паренхімі органу. Це найбільш часта патологія, яка трапляється в кожному третьому випадку доброякісних вогнищевих змін печінки. Від 3 до 7% населення - носії гемангіом. Жінки страждають на цю хворобу частіше, що може пояснюватися стимулюючим впливом естрогенів на проліферацію ендотелію.

За гістологічною структурою виділяють капілярний, кавернозний і змішаний типи пухлини, представленої судинними лакунами або безліччю капілярів різної величини, патологічним артеріальним і портальних кровопостачанням. З клінічної точки зору доцільно виділення чотирьох форм гемангиоматоз печінки: солитарной, осередковій для множини, дифузно-осередкової і дифузно-поширеною.

Малигнизация гемангіом не доведена.

Клініка і діагностика. Часто захворювання протікає безсимптомно, і прояви носять неспецифічний характер - слабкість, стомлюваність. Диспептичні порушення проявляються відрижкою, печією, здуттям живота. З ростом пухлини і розтягуванням глиссоновой капсули виникають тяжкість, біль у правому підребер'ї - найбільш часті скарги, які виявляються основною причиною звернення хворих.

У випадках значного збільшення розмірів пухлини може розвинутися компресія прилеглих структур, що виявляється портальною гіпертензією, здавленням вихідного відділу шлунка, механічну жовтяницю. При цьому також підвищується ризик пошкодження або спонтанного розриву гемангіоми, особливо при її субкапсулярному розташуванні і вираженому Внеорганние компоненті, що може призводити до масивного внутрішньочеревної кровотечі. Внутрішньопухлинне крововилив і тромбоз можуть проявитися больовим синдромом і підвищенням температури тіла.

Гепатомегалия при гемангиоматоз печінки виникає рідко, і при фізикальному огляді не вдається отримати додаткову інформацію. В аналізах крові може бути відносна тромбоцитопенія. Тому в діагностиці даної патології провідна роль належить променевих методів.

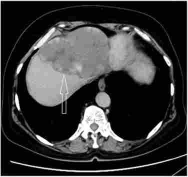
Захворювання виявляється при УЗД печінки, призначеному в якості скринінгу, або при обстеженні з приводу інших причин. При скануванні визначається частіше гіперехогенное новоутворення, відмінне по щільності від паренхіми, або гіпоехогенні без чітких ознак наявності капсули. З огляду на характер васкуляризації пухлини, проведення контрастних методів дослідження - МСКТ / МРТ - дозволяє з імовірністю 90% діагностувати гемангиоматоз і відрізнити його від інших захворювань (аденоми, ГЦК, метастазів і ін.). Відзначається специфічне для гемангіоми нерівномірне накопичення контрастного препарату від периферії до центру (рис. 16.1).

КТ-картина при гемангіома печінки. Візуалізується пухлинний вузол - гемангіома. Пухлина вказана стрілкою

Мал. 16.1. КТ-картина при гемангіома печінки. Візуалізується пухлинний вузол - гемангіома. Пухлина вказана стрілкою

При неоднозначному трактуванні отриманих результатів контрастних досліджень виконується сцинтиграфія печінки з міченими 99тТс еритроцитами, чутливість та специфічність якої перевищує 90%. При збігу результатів рентгенологічного та ізотопного досліджень новоутворення трактується як гемангіома. Однак при розмірах пухлини менше 2 см можуть зустрічатися помилково негативні результати.

В даний час ангіографія печінки, розглянута раніше в якості «золотого стандарту» діагностики гемангиоматоз, використовується для проведення паліативної або передопераційної артеріальної емболізації.

Лікування. З огляду на доброякісну природу гемангіом, показання до лікування залежать від проявів захворювання. Відносними показаннями до хірургічного лікування служать:

Абсолютні показання диктуються неможливістю виключити злоякісну природу захворювання і розривом пухлини з розвитком вну трібрюшного кровотечі. Основні обсяги оперативного посібники варіюють від атипових резекцій до розширених гемігепатектомій при гігантських гемангиомах.

З метою зменшення інтраопераційної крововтрати в передопераційному періоді може виконуватися емболізація артерій, що живлять пухлину.

Мобілізація видаляється частини печінки з гемангіомою вимагає делікатної хірургічної техніки, що перешкоджає пошкодження її капсули (рис. 16.2 на кольоровій вкладці).

При неможливості або недоцільності резекції печінки можуть розглядатися паліативні втручання, спрямовані на редукцію кровотоку, яке живить пухлину, або варіанти локальної деструкції гемангіоматозной мальформації (пункційне склерозування, мікрохвильова деструкція, радіочастотна абляція). Як емболізірую- щих агентів застосовуються металеві спіралі, гемостатична губка, етанол і ін. В інших випадках пацієнти підлягають динамічному спостереженню.

Аденома. Аденома печінки - доброякісне новоутворення, що характеризується порушенням будови паренхіми - відсутністю портальних трактів, жовчних проток і наявністю великої кількості судин. У жінок виявляється приблизно в 5 разів частіше, є чіткий зв'язок з вживанням гормональних контрацептивів. У чоловіків причиною розвитку може служити прийом анаболічних стероїдів. Мікроскопічно аденома може бути представлена двома формами: трабекулярної, що складається з печінкових балок, і тубулярной, що нагадує скупчення жовчних капілярів. Захворювання тривалий час протікає безсимптомно, і частіше аденома виявляється діагностичної знахідкою. Скарги виникають, коли є значне збільшення пухлини в розмірах або з'являється компресія жовчних проток або ворітної вени.

Діагностується захворювання за допомогою променевих методів дослідження. При УЗД аденома візуалізується частіше як гіпоехогенні новоутворення з чіткими контурами; при КТ - солідний гіподенсний вогнище, злегка збільшує свою щільність при контрастировании. Диференціальна діагностика проводиться з гепатоцелюлярним і метастатичним раком печінки.

Наявність великої кількості судин може призводити до спонтанного розриву пухлини і внутрішньочеревної кровотечі. Доведено малігніза- ція аденом. У зв'язку з цим пацієнти з виявленими аденомами підлягають хірургічному лікуванню. Методом вибору при периферичному розташуванні пухлини виступає резекція печінки (рис. 16.3 на кольоровій вкладці); при локалізації вузла в центральних відділах органу може виконуватися локальна деструкція, в тому числі черезшкірно під ультразвуковим контролем. При множинних аденомах печінки, їх швидкому зростанні, неможливості виконання резекції печінки методом вибору стає трансплантація печінки.

З огляду на часте рецидивування аденом, оперовані пацієнти підлягають активному динамічному спостереженню.

  1. Ембріональний розвиток, дроблення - біологія. Частина 1
    Дроблення - це ряд послідовних мітотичних поділів зиготи і далі бластомерів, що закінчуються утворенням багатоклітинного зародка - бластули. Перше розподіл дроблення починається після об'єднання спадкового матеріалу пронуклеусов і утворення спільної метафазної пластинки. Виникаючі при дробленні
  2. Ембріональна індукція - біологія. Частина 1
    ембріональна індукція - це взаємодія частин зародка, при якому одна ділянка зародка впливає на долю іншої ділянки. Явище ембріональної індукції з початку XX ст. вивчає експериментальна ембріологія. Класичними вважають досліди німецького вченого Г. Шпемана і його співробітників (1924) на зародках
  3. Елонгація реплікації - біохімія частина 2.
    Від -кінця праймера починається синтез нового ланцюга ДНК за допомогою ДНК-полімерази III. Синтез йде в напрямку одночасно на обох ланцюгах матриці. З огляду на той факт, що ланцюга се антіпараллельни, новосін- тезірованние ланцюга також повинні були б рости в протилежних напрямках
  4. Електрофізіологічні процеси в корі великих півкуль. Основи методу електроенцефалографії - нейрофізіологія
    В результаті вивчення даного розділу студент повинен: знати основи методу електроенцефалографії; основні ритми ЕЕГ, їх функціональне значення і частотні характеристики; джерела генерації основних ритмів ЕЕГ; принципи реєстрації і аналізу ЕЕГ; вміти пояснювати походження електричних процесів
  5. Еферентні зв'язку мозочка - нейрофізіологія
    Все еферентні виходи з мозочка утворені тільки відростками клітин Пуркіньє. Еферентні волокна мозочка направляються до тих же структурам, від яких він отримує аферентні сигнали: спинний мозок, вестибулярні ядра, ретикулярна формація, червоне ядро, а також показано, що у мозочка є еферентні
  6. Довгострокова регуляція кровообігу - фізіологія людини і тварин
    Довготривала регуляція кровообігу пов'язана з роботою нирок, які контролюють обсяг рідини в організмі. Збільшення обсягу позаклітинної рідини призводить до зростання обсягу крові і підйому артеріального тиску. У відповідь на зростання тиску нирки підсилюють виведення рідини з організму - і
  7. Докази ролі факторів середовища в розвитку ознак статі - біологія. Частина 1
    Мал. 7.3. Роль умов середовища у розвитку ознак статі у морського хробака Bonellia viridis. 1 - самка, 2 - яйця, 3 - личинка, 4 - молода самка, 5 - самець, 5 ' - самець в збільшеному вигляді У більшості видів розвиток ознак статі здійснюється на основі спадкової програми, укладеної в генотипі
  8. Догляд за хірургічними хворими після операцій на легенях - сестринська справа в хірургії
    Основні питання глави 1. Поняття про основні патологічних симптомах при захворюваннях органів дихання: задишка, задуха, кашель, кровохаркання, легенева кровотеча, болі в грудній клітці, лихоманка. 2. Спостереження за диханням, підрахунок числа дихальних рухів. Надання хворому зручного положення
© 2014-2022  ibib.ltd.ua