Головна
Cоціологія || Гуманітарні науки || Мистецтво та мистецтвознавство || Історія || Медицина || Науки про Землю || Політологія || Право || Психологія || Навчальний процес || Філософія || Езотерика || Екологія || Економіка || Мови та мовознавство
ГоловнаМедицина → Факультетская хірургія
««   ЗМІСТ   »»

ДІАГНОСТИКА

Діагностичні заходи при синдромі портальної гіпертензії проводяться з метою встановлення причини портальної гіпертензії, оцінки функціонального стану печінки і уточнення особливостей портального кровообігу.

Біохімічні дослідження крові дозволяють оцінити різні сторони функціонального стану печінки (синдром печінково-клітинної недостатності, вираженість імунних реакцій, цитолитичний синдром, стан пігментного обміну). Для визначення ступеня печінкової недостатності найбільш широко використовується система критеріїв Чайлда - Тюркотта - П'ю (Child - Turcotte - Pugh), представлена в табл. 17.1. Підрахунок балів проводиться на підставі визначення тяжкості кожного із запропонованих критеріїв. Відповідно до отриманої кількості балів виділяють класи: 5-6 балів - клас А (Компенсація), 7-9 балів - В (Субкомпенсация) і 10-15 - З (Декомпенсація).

Таблиця 17.1

Критерії тяжкості печінкової недостатності за системою Чайлда - Тюркотта - Пио

показник

оцінка

1 бал

2 бали

3 бали

Альбумін, г / л

35

35-28

<28

Білірубін, мкмоль / л

<34,2

34,2-51,3

51,3

Протромбіновий час, з

1-4

4-6

6

асцит

немає

легкий

(Керований)

важкий

(Резистентний)

енцефалопатія

немає

I-II стадія

III-IV стадія

Всім пацієнтам з підозрою на наявність портальної гіпертензії виконується фіброезофагогастродуоденоскопія (ФЕГДС), яка дозволяє виявити варикозне розширення вей стравоходу і шлунка та оцінити тяжкість портальної гіпертензивної гастропатії і ризик розвитку кровотечі.

Існує також проста класифікація ступеня варикозного розширення вен стравоходу по А. Г. Шерцінгеру (1986): I ступінь - вени діаметром до 3 мм; II ступінь - від 3 до 5 мм; III ступінь - більше 5 мм.

При описі варикозної трансформації вен кардії і шлунка виділяють чотири типи:

I - гастроезофагеальні варикозно-розширені вени поширюються на кардіальний і субкардіального відділи малої кривизни шлунка;

II - гастроезофагеальні варикозно змінені вени локалізуються від езофа- гокардіального переходу по великій кривизні у напрямку до дна шлунка;

III - ізольовані варикозно-розширені вени шлунка без змін в стравоході, варикозна трансформація вен фундального відділу шлунка;

IV - ектопічні вузли тіла, антрального відділу шлунка, дванадцятипалої кишки.

Ступінь портальної гіпертензивної гастропатії оцінюють за класифікацією Т. Т. Маккормака (1993). Легкий ступінь діагностують при мозаїчному малюнку слизової шлунка. Важка являє собою поєднання музичного малюнка і дифузних темно-червоних плям, а також підслизових геморагій.

Японське суспільство дослідження портальної гіпертензії (JRS) в 1980 р розробило правила ендоскопічного опису варикозно-розширених вен, які дозволяють визначати ризик кровотечі.

Стан варикозних змін вен оцінюється за чотирма основними категоріями:

Додаткові ендоскопічні ознаки вказують на наявність або відсутність езофагіту та інших змін стравоходу. У разі виявлення синюшним варикозних вен, «червоних маркерів», звивистих або вузлуватих варикозних вей (Сь, RC (+), F2-3) Ймовірність кровотечі найближчим часом від моменту дослідження становить понад 60%.

Комплексне ультразвукове дослідження (УЗД), що включає сканування в S-режимі, дуплексне сканування в режимі кольорового допплерівського картування та імпульсної доплерографії, в більшості випадків дає можливість встановити причину і рівень блоку портального кровотоку, оцінити стан і розміри ворітної вени і основних її приток (рис . 17.5 на кольоровій вкладці). У окружності шлунка і верхнього полюса селезінки нерідко виявляються численні розширені венозні стовбури, наявність яких свідчить про перевантаження приток портальної вени і варикозному розширенні вен. При доплерографії у таких пацієнтів реєструється ретроградний струм в лівої шлункової вени, який служить ознакою не тільки варикозного розширення вен стравоходу, але і загрози кровотечі. При УЗД можуть бути діагностовані гепатоспленомегалия і асцит.

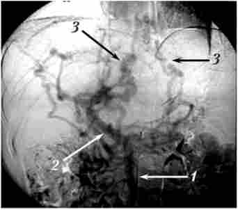
Ангіографічні методики дозволяють візуалізувати вени портальної системи, визначити шляхи портального шунтування і отримати зображення варикозних вен стравоходу і шлунка.

Найбільш інформативною виявляється дигитальная субтракційна артеріопортографія (рис. 17.6). Сутність методики полягає в катетеризації однієї з вісцеральних артерій стегнових доступом і реєстрації артеріальної і венозної фаз кровотоку. На флебограмм чітко візуалізуються воротная вена і основні її притоки, а також шляхи колатерального кровотоку з накопиченням контрастує речовини в венах стравоходу і склепіння шлунка.

Практично єдиним малоінвазивним методом оцінки ступеня портальної гіпертензії печінки виступає окклюзионная флебогепатогра- фія. Методика полягає в катетеризації печінкових вен, визначенні вільного і окклюзионного тиску. Останній показник при внутрішньо-печінковій формі портальної гіпертензії дорівнює портальному тиску. Це дослідження дозволяє не тільки візуалізувати найдрібніші притоки печінкових вен і гілки ворітної вени, а й оцінити синусоидальное тиск - одну з найважливіших характеристик портальної гіпертензії.

Дигітальна субтракційна ангіограма

Мал. 17.6. Дигітальна субтракційна ангіограма.

Поворотна мезентерікопортографія:

Багатофазна спіральна комп'ютерна томографія з внутрішньовенним введенням контрастує речовини і ядерно-магнітна резонансна томографія дають можливість визначити розміри печінки і селезінки і ступінь змін в них, оцінити стан основних судинних структур і наявність великих варикозно-розширених вен в заочеревинному просторі, а також езофагеальних і параезофагеальних венозних стовбурів.

У ряді випадків для уточнення діагнозу застосовується біопсія пункції печінки і лапароскопія.

Синдром портальної гіпертензії необхідно диференціювати з іншими захворюваннями, що супроводжуються спленомегалією (хвороба Гоше, хронічний мієлолейкоз, гемолітична анемія і остеомієлофіброз). У таких випадках велике значення має дослідження пунктату кісткового мозку і селезінки. Досить часто кровотеча з варикозно-розширених вен стравоходу приймають за кровотеча, що виникає при виразці або раку шлунка. Такі помилки найчастіше зустрічаються при синдромі внепеченоч- ної портальної гіпертензії, коли скоротилася селезінка не пальпується, а видимих патологічних змін печінки немає. У цих випадках ретельно зібраний анамнез, УЗД з допплерографией і ФЕГДС допомагають уникнути помилки.

  1. Довгастий мозок і вароліїв міст - ендокринна і центральна нервова системи, вища нервова діяльність, аналізатори, етологія
    Довгастий мозок і варолиев міст разом складають задній мозок. Анатомічно і функціонально задній мозок пов'язаний зі спинним мозком, мозочком і великими півкулями головного мозку. У ньому замикаються дуги багатьох сложнокоордінірованним рухових процесів. Сегментарна будова, чітко виражене в
  2. Дослідження пацієнтів з розщепленим мозком - фізіологія вищої нервової діяльності та сенсорних систем
    Основний внесок в дослідження мозку людей і тварин з ізольованими півкулями вніс Роджер Сперрі (рис. 10.2). Мал. 10.2. Роджер Сперрі (Roger Sperry) (1913-1994) - американський нейропсихолог, професор психобіології Він працював науковим співробітником в Гарвардському університеті і спільно
  3. Догляд за хворими з норицями травного тракту - сестринська справа в хірургії
    Гастростома - шлунковий свищ, що з'єднує шлунок і передню черевну стінку, накладається під час операції в разі непрохідності стравоходу (пухлина, травми, опіки його слизової) і кардіального відділу шлунку. Вставляють в гастростому зонд і закріплюють його в ній. Тому їжу вводять безпосередньо
  4. Догляд за хворими після урологічних операцій - сестринська справа в хірургії
    Більшість урологічних операцій закінчується залишенням дренажів і катетерів для відведення сечі. Ліжко слід підготувати так, щоб захистити білизна (клейонки) від виділень і забезпечити відтік виділень в підвішені до ліжка прозорі мочеприемники - скляні пляшки, що закриваються пробкою, в якій
  5. Доброякісні пухлини ободової кишки - факультетська хірургія
    За походженням доброякісні пухлини ободової кишки поділяють на дві групи: епітеліальні і нееіітеліальние. На практиці найчастіше доводиться зустрічатися з пухлинами, що розвиваються з епітелію кишкової стінки, так званими поліпами. За визначенням, яке С. А. Холдинг (1955), істинним поліпом
  6. Дія харчових добавок на організм людини - фізіологія харчування
    Сьогодні харчова промисловість, бажаючи завоювати лояльність покупців, для підвищення якості харчових продуктів, розширення асортименту, подовження терміну придатності, поліпшення консистенції, смаку, аромату та інших показників якості продукції використовує харчові добавки. Під харчовими
  7. Дихальний центр - кровообіг, дихання, видільні процеси, розмноження, лактація, обмін речовин
    Дихальний центр - це сукупність нейронів, розташованих у всіх відділах ЦНС і приймають ту чи іншу участь в регуляції дихання. Головна частина, або як прийнято говорити, «ядро» дихального центру, знаходиться, як довів експериментально Миславський, в довгастому мозку, в області ретикулярної
  8. Диференціальна активність генів - генетика
    Диференціальна експресія генів, т. Е. Регуляція їх активності в залежності від сигналів, що надходять ззовні, може відбуватися на рівні будь-якого відомого матричного процесу: реплікації, транскрипції, трансляції, а також в процесі дозрівання іРНК і поліпептидних ланцюгів, що утворюються в
© 2014-2022  ibib.ltd.ua