Головна
Cоціологія || Гуманітарні науки || Мистецтво та мистецтвознавство || Історія || Медицина || Науки про Землю || Політологія || Право || Психологія || Навчальний процес || Філософія || Езотерика || Екологія || Економіка || Мови та мовознавство
ГоловнаМедицина → Факультетская хірургія
««   ЗМІСТ  

ДІАГНОСТИЧНІ ТА ЛІКУВАЛЬНІ МОЖЛИВОСТІ НЕВАСКУЛЯРНОЇ ІНТЕРВЕНЦІЙНОЇ ХІРУРГІЇ

У сучасній клініці ультразвукове та рентгенологічне дослідження не тільки виступають скринінговими методами обстеження пацієнтів, але і дозволяють виконувати малоінвазивні діагностичні та лікувальні маніпуляції пацієнтам з різними захворюваннями органів черевної порожнини, заочеревинного простору, плевральної порожнини.

Ультразвукове дослідження - основний метод діагностики органних і позаорганних рідинних утворень черевної порожнини і заочеревинного простору. Сучасні апарати ультразвукової діагностики мають високу роздільну здатність, режим дуплексного сканування і кольорового картування, що дозволяє досить точно локалізувати об'єкт дослідження, визначити безпечний доступ і зручну трасу проведення інструментів до нього.

При виявленні вогнищевого утворення - як внутріоргаііого, так і внеорганного - необхідно зафіксувати такі характеристики вогнища:

Інтервенційні мініінвазивні неваскулярние оперативні втручання під візуальним рентгенологічним та ультразвуковим контролем включають лікувальні і діагностичні маніпуляції.

Діагностичні операції:

Лікувальні операції:

I - пункція рідинних утворень (внутрішньо-і позаорганних) з евакуацією вмісту;

II - дренування рідинного освіти:

III - малоінвазивні операції при обтураційній жовтяниці (пухлинного і неопухолевого генезу), пошкодженнях жовчних проток:

IV - малоінвазивні операції при панкреатолітіаз, стриктурах, пошкодженнях пакреатічних проток:

V - декомпрессионниє операції на сечових шляхах:

Діагностичні операції під ультразвуковим контролем. Діагностичні пункції під ультразвуковим контролем виконують з метою визначення характеру рідини в досліджуваній порожнини. Крім загальнохірургічного інструментарію для пункції необхідно мати спеціальні пункцій голки різної конструкції. Отримана рідина відправляється на бактеріологічне, цитологічне дослідження.

Тонкоголкова аспіраційна біопсія (ТІАБ) - діагностична маніпуляція, яка використовується з метою визначення характеру новоутворення лімфатичних вузлів і паренхіматозних органів, зокрема: молочної залози, печінки, нирок, легенів, щитовидної залози, яєчок, підшлункової залози.

Голка для трепан-біопсії має ріжучу кромку, зрізати в автоматичному чи напівавтоматичному режимі стовпчик тканини, розміри якого залежать від діаметра голки і довжини ріжучої кромки. Імовірність отримати достатній обсяг матеріалу для гістологічного і (або) імуногістохімічного дослідження при цьому в кілька разів вище, ніж при тонкоіголиюй аспіраційної біопсії.

До недавнього часу видалення сторонніх тіл з м'яких тканин без візуального інструментального контролю було дуже складним завданням. Протягом декількох десятиліть рентгеноконтрастні чужорідні тіла видаляють під рентгенологічним контролем. Перевага ультразвукового контролю над рентгенологічним незаперечно - відсутність опромінення, динамічне поліпозиційне дослідження, візуалізація рентгенонегатівних об'єктів. Крім того, УЗД дозволяє нс тільки візуалізувати об'єкт, але і визначити найбільш безпечну трасу проведення інструменту з урахуванням розташування внутрішніх органів, а також - що особливо важливо - великих кровоносних судин.

Лікувальні операції під ультразвуковим контролем. Пункція рідинного освіти з евакуацією вмісту. Принципи пункції рідинного освіти під ультразвуковим контролем з метою евакуації вмісту порожнини органної або Внеорганние локалізації з технічної точки зору багато в чому схожі з принципами діагностичної пункції. Відмінності в тому, що лікувальна пункція виконується не тільки з метою визначення характеру рідини, але і переслідує інші цілі: видалення рідинного вмісту, введення лікарських засобів в порожнину (антисептиків, склерозантов і т. Д.). Іноді пункцію, евакуацію і внутріпросветную терапію повторюють при рецидиві рідинного скупчення або при неповному його спорожнення при першій пункції.

Дренування рідинного освіти при впутріорганной локалізація рідинного освіти. Кісти, гематоми і абсцеси печінки. Ультразвукове дослідження дозволяє визначити, локалізувати і диференціювати різні рідинні утворення печінки. Кісти печінки мають чіткі межі, однорідне вміст, тонку капсулу (при простих кістах) і товсту при паразитарних кістах. Паразитарна кіста ехінокока може містити дочірні бульбашки. Крім того, капсула паразитарної кісти містить хітин, при ультразвуковому дослідженні капсула екранує ультразвук, і на екрані за капсулою характер вмісту кісти часто неможливо визначити. Абсцеси та гематоми печінки мають, як правило, неправильну форму, капсула відсутня. Вміст їх неоднорідне, в порожнині гематоми можна візуалізувати згустки крові.

При дренуванні рідинних утворень печінки необхідно візуалізувати великі судини і протоки в проекції передбачуваної траси проведення маніпуляторів і дренажу. Стандартних точок доступу в порожнину абсцесу, кісти або гематоми печінки немає. Однак обов'язкове З'словіе при дренуванні цих рідинних утворень печінки - установка неробочої частини дренажу в незміненому тканину паренхіми печінки. I [олучепіое при дренуванні вміст відправляють на цитологічне і бактеріологічне дослідження. Вміст може бути серозним, геморагічним, гнійним, гнійно-геморагічним, жовчним (змінена або малозміненому жовч).

Кісти, гематоми і абсцеси селезінки. Принципи і технічні умови при дренуванні рідинних вогнищевих утвореннях селезінки під ультразвуковим контролем схожі з такими при дренуванні паренхіматозних рідинних утворень печінки. З особливостей необхідно відзначити, що дренирующие операції при захворюваннях селезінки необхідно виконувати тільки в операційній і під наркозом. Така необхідність зумовлена крихкістю паренхіми селезінки: операційна бригада повинна бути готова при можливих ускладненнях дренування своєчасно виконати лапаротомію щоб уникнути великої кровонотерн. Обов'язково контроль УЗД протягом однієї години після дренування для своєчасного виявлення можливого внутрішньочеревної кровотечі.

Кісти і абсцеси підшлункової залози і заочеревинного простору (парапанкреатічні). Кісти і абсцеси підшлункової залози в більшості випадків виникають в результаті деструктивного панкреатиту. Абсцеси підшлункової залози часто виявляються інфікованими кістами. Гостре рідинне парапанкреатічної скупчення практично не має капсули, відмежоване оточуючими органами, містить досить однорідну рідину. Кіста має сформовану капсулу, більш відмежоване скупчення рідини, часто не залежить від конфігурації і топографії оточуючих органів. Абсцеси мають товсту капсулу, неоднорідне вміст, часто з ознаками наявності включень або газу.

Все парапанкреатічні рідинні скупчення ділять по локалізації. Як правило, кісти і абсцеси локалізуються в області головки, тіла або хвоста підшлункової залози. Хоча цей поділ вельми умовно. Нерідко рідинні освіти, переважно розташовуючись в тій чи іншій частині підшлункової залози, поширюються на сусідні області органу, в тому числі в інші регіони черевної порожнини і заочеревинного простору.

Абсцеси легкого і відмежовані рідинні скупчення плевральної порожнини. Візуалізація абсцесів легкого і відмежованих скупчень рідини в плевральній порожнині утруднена в зв'язку з легкістю тканини легені і наявністю акустичних вікон тільки в межреберьях. Проте сучасні апарати ультразвукової діагностики дозволяють, незважаючи на екранує ефект повітря і ребер, визначити наявність рідинного скупчення в легкому або плевральної порожнини.

Крім ультразвукового контролю за динамікою скорочення порожнини необхідний також рентгенологічний контроль за станом легеневої тканини, прилеглій до порожнини.

Критеріями для вирішення питання про видалення дренажу служать наступні ознаки:

Дренування рідинного освіти при Внеорганние локалізації рідинного освіти. Абсцеси та гематоми черевної порожнини. Абсцеси черевної порожнини часто формуються в відмежованих просторах різних анатомічних структур. Таким чином, з огляду на найбільш часті локалізації абсцесів, їх можна класифікувати наступним чином:

Таким же чином можна локалізувати гематоми.

Абсцес сальникової сумки і секвестри

Мал. 28.5. Абсцес сальникової сумки і секвестри:

1 - сальниковая сумка; 2 - секвестру

Різниця між ультразвукової картиною абсцесу і гематоми черевної порожнини полягає в наявності або відсутності капсули. Гематома нс обмежена капсулою, її вміст неоднорідне, часто містить згустки, іноді в порожнині гематоми можна візуалізувати ток рідини. Ультразвукова картина абсцесів і гематом черевної порожнини різної локалізації досить характерна. Поддіафрагмальние рідинні скупчення мають серповидную форму, абсцеси сальникової сумки - неправильну форму або довгасту (овоидную) форму (рис. 28.5).

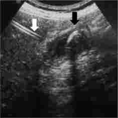
Черезшкірна чреспеченочная холецістостомія

Мал. 28.6. Черезшкірна чреспеченочная холецістостомія:

біла стрілка - неробоча частина дренажу встановлена траспеченочно; чорна стрілка - фіксує кільце встановлено в просвіті жовчного міхура

Абсцеси та гематоми заочеревинного простору. Абсцеси та гематоми заочеревинного простору мають неправильну форму, не формують капсулу, часто поширюються в параколиюе або паранефральні простору. Іноді в заочеревинному просторі рідина з'являється в результаті прориву абсцесів з пара- Кольна або паранефральной клітковини.

Малоінвазивні операції при обтураційній жовтяниці (Пухлинного і неопухолевого генезу), пошкодженнях жовчних проток.

Черезшкірна чреспеченочная холецістостомія.

Показаннями до дренування просвіту жовчного міхура (рис. 28.6) виступають такі стани:

Причиною гострого холециститу в переважній більшості випадків виявляється жовчнокам'яна хвороба з вклиненням конкременту в області шийки жовчного міхура.

Механічна жовтяниця, при якій визначаються ознаки блокує

ванного жовчного міхура, може бути викликана наступними причинами; конкременти, пухлина або стриктура загальної жовчної протоки; пухлини головки підшлункової залози або метастатична поразка лімфатичних вузлів гепатодуоденальной зв'язки.

Черезшкірна чреспеченочная холангіостомія. Показанням до дренування жовчних проток під ультразвуковим і рентгенологічним контролем (рис. 28.7) виступає синдром механічної жовтяниці. У рідкісних випадках антеградное дренування жовчних проток виконують з метою формування доступу для комбінованих (виконується одночасна маніпуляція ендоскопіст через фібродуоде- носкоп) внутріпросветних втручань при холедохолитиазе, пухлинах гепатопанкреатодуо- денальной зони, стриктурах жовчних проток і анастомозів.

Черезшкірна пункція жовчних проток. Стрілками позначений кут, утворений голкою і правим печінковим протокою

Мал. 28.7. Черезшкірна пункція жовчних проток. Стрілками позначений кут, утворений голкою і правим печінковим протокою

На сучасному етапі розвитку жовчної хірургії попередня декомпресія жовчних проток дозволяє підготувати хворого до радикальної операції, яка буде виконуватися при відсутності ознак печінкової або печінково-ниркової недостатності.

При IV стадії біліопанкреатодуоденаль- ного раку малоінвазивні методики декомпресії жовчних проток з подальшим ендопротезування звужених ділянок в більшості випадків виступають остаточним етапом лікування хворих.

Первинне УЗД дозволяє визначити рівень блоку жовчних проток, а іноді і його причину.

Антеградное зовнішньо-внутрішнє дренування та стентування (ендопротезування) жовчних проток. Тривале зовнішнє дренування жовчних проток без заповнення втрати жовчі призводить до тяжких водноелектролітних порушень. Своєчасне відновлення прохідності жовчних проток в області пухлинної або доброякісною стриктури дозволяє запобігти тяжким електролітні порушення, підготувати хворого до можливого радикального оперативного втручання.

Операція виконується під рентгенологічним контролем. Після проведення провідника в просвіт дванадцятипалої кишки по провіднику встановлюється або зовнішньо-внутрішній дренаж, або саморасправляю- щійся стент (рис. 28.8).

Зовнішньо-внутрішній ендопротезування пухлинної стриктури загальної жовчної протоки. Стрілками вказані відновлені ділянки

Мал. 28.8. Зовнішньо-внутрішній ендопротезування пухлинної стриктури загальної жовчної протоки. Стрілками вказані відновлені ділянки

жовчних проток:

а - дренування; б - стентування

Таким чином, після ендопротезування жовчних проток жовч надходить в просвіт дванадцятипалої кишки, що дозволяє підготувати хворого до радикального оперативного втручання. У деяких ситуаціях, а саме при нсрсзектабельних пухлинах і доброякісних стриктурах жовчних проток стентіруются операції стають остаточними методами лікування.

Бужування і балонна дилатація стриктур різного генезу. Після проходження звуженої ділянки жовчних проток маніпуляційним катетером і провідником часто необхідно розширити стриктуру до певного діаметра.

Антеградная і комбінована літоекстракція. Комбінована літоекстракція - це метод видалення конкрементів з жовчної протоки шляхом поєднання антеградний (чрескожних) і ретроградним (ендоскопічних) методик.

Таким чином, для виконання антеградной літоекстракція застосовують інструменти для доступу, дренування і розширення жовчної протоки. Для комбінованої літоекстракція крім інструментів для антеградной літоекстракція необхідне застосування ендоскопічної техніки і інструментарію (див. Параграф 28.1).

Малоінвазивні операції при панкреатолітіаз, стриктурах, пошкодженнях пакреатічних проток. В даний час малоінвазивні операції при захворюваннях та пошкодженнях панкреатичних проток використовуються в невеликому числі вітчизняних клінік. Ця обставина пов'язана з тим, що інтервенційна хірургія підшлункової залози - найбільш складна в технічному аспекті: панкреатичний протік рідко розширюється більше 5 мм, а сама підшлункова залоза розташована досить глибоко від шкіри живота, за шлунком і товстою кишкою. Крім цього, в разі невдалого дренування панкреатичний сік надходить за межі протоки і, будучи агресивним середовищем, може викликати лізис парапанкреатічної тканин, оментобурсит і інші важкі ускладнення.

Показання до малоінвазивних операцій на панкреатичних протоках:

Таким чином, інтервенційні операції на протоках підшлункової залози переслідують наступні цілі:

Для пункції протоки підшлункової залози використовують надтонкі голки Chiba. Пункція виконується під ультразвуковим і рентгенологічним контролем, через малий сальник, трансгастральна або через шлунково-ободову зв'язку.

Далі по проведеним провіднику виконується бужирование пункционного каналу в тканини підшлункової залози. При хронічному панкреатиті цей етан досить трудомісткий в зв'язку з щільністю тканини залози. Потім встановлюється набір фасциальних бужей, розширюється канал до діаметра, достатнього для різних маніпуляцій.

Як правило, операція закінчується зовнішньо-внутрішнім дренуванням протоки підшлункової залози (рис. 28.9).

Зовнішньо-внутрішнє дренування протоки підшлункової залози (контрастна нанкреатографія)

Мал. 28.9. Зовнішньо-внутрішнє дренування протоки підшлункової залози (контрастна нанкреатографія):

Таким чином, впровадження в хірургію малоінвазивних методів лікування істотно змінило хірургію. Раніше для лікування деяких захворювань і ускладнень потрібні були великі і травматичні операції, що у ослаблених хворих нерідко супроводжувалося летальним результатом. Мінімально інвазивна хірургія позбавлена всіх цих недоліків. Результати лікування багатьох захворювань значно покращилися.

  1. Дослідження пацієнтів з розщепленим мозком - фізіологія вищої нервової діяльності та сенсорних систем
    Основний внесок в дослідження мозку людей і тварин з ізольованими півкулями вніс Роджер Сперрі (рис. 10.2). Мал. 10.2. Роджер Сперрі (Roger Sperry) (1913-1994) - американський нейропсихолог, професор психобіології Він працював науковим співробітником в Гарвардському університеті і спільно
  2. Докази ролі факторів середовища в розвитку ознак статі - біологія. Частина 1
    Мал. 7.3. Роль умов середовища у розвитку ознак статі у морського хробака Bonellia viridis. 1 - самка, 2 - яйця, 3 - личинка, 4 - молода самка, 5 - самець, 5 ' - самець в збільшеному вигляді У більшості видів розвиток ознак статі здійснюється на основі спадкової програми, укладеної в генотипі
  3. Догляд за хворими з хірургічними захворюваннями нирок, сечовипускання - сестринська справа в хірургії
    Основні питання глави 1. Спостереження за сечовипусканням, його частотою і характером. 2. Взяття сечі для дослідження, напрямок її в лабораторію. 3. Заходи при гострій затримці сечі, виклик рефлексу сечовипускання. Катетеризація сечового міхура; види катетерів; техніка катетеризації м'якими
  4. Догляд за хірургічними хворими після операцій на легенях - сестринська справа в хірургії
    Основні питання глави 1. Поняття про основні патологічних симптомах при захворюваннях органів дихання: задишка, задуха, кашель, кровохаркання, легенева кровотеча, болі в грудній клітці, лихоманка. 2. Спостереження за диханням, підрахунок числа дихальних рухів. Надання хворому зручного положення
  5. Добова потреба людини у вітамінах (пo karlson, 1980), лабораторний практикум - біохімія людини
    розрахункові значення 2 власний синтез мікрофлорою кишечника Виконання лабораторних робіт в рамках курсу біохімії допоможе студентам розвинути і закріпити знання теоретичного матеріалу, а також, поряд із засвоєнням теоретичного матеріалу курсу, ознайомитися з можливостями програми Isis Draw,
  6. Диспептичний синдром - факультетська хірургія
    Велике значення в хірургічній практиці має диспепсія - під цією назвою об'єднуються клінічні ознаки розладу травлення. Один з проявів диспепсії - здуття живота. Здуття живота може бути ознакою раку товстої кишки, спостерігається у хворих кишковою непрохідністю, гострим панкреатитом. Одна з
  7. Дигібридне схрещування - генетика в 2 Ч. Частина 1
    Схрещування, при якому батьківські форми відрізняються по двох парах альтернативних ознак, називається дигибридном (За трьома - три - гібридним , за багатьма - полигибридного). Для вивчення дигибридного схрещування Г. Мендель використовував дві чисті лінії гороху, які відрізнялися формою і
  8. Діагностика хвороб періапікальних тканин зуба, гострий періодонтит пульпарного походження - стоматологія. Ендодонтія
    Гострий періодонтит пульпарного походження має початкову стадію інтоксикації і потім ексудації. Виражених симптомів в стадії інтоксикації немає, це перші години початку періодонтиту. скарги пацієнта на початку розвитку захворювання, перші 2-3 діб, на постійну, ниючого характеру, локальний
© 2014-2022  ibib.ltd.ua