Головна
Cоціологія || Гуманітарні науки || Мистецтво та мистецтвознавство || Історія || Медицина || Науки про Землю || Політологія || Право || Психологія || Навчальний процес || Філософія || Езотерика || Екологія || Економіка || Мови та мовознавство
ГоловнаМедицина → Факультетская хірургія
««   ЗМІСТ   »»

КЛІНІЧНА КАРТИНА І ДІАГНОСТИКА

Чіткого відповідності клінічної картини і перебігу запальних змін в жовчному міхурі при гострому холециститі часто не спостерігається. На тяжкість запального процесу можуть вказувати раптово виниклі ускладнення - перитоніт, механічна жовтяниця, пальпуємий інфільтрат, гіперамілаземія і ін.

Хворі на гострий холецистит скаржаться на болі в епігастральній ділянці та правому підребер'ї постійного характеру, гострі або ниючі з іррадіацією в праву лопатку або без неї. Болі супроводжуються непостійній нудотою, одноразово або кілька разів буває блювота з'їденої їжею і (або) жовчю. Стілець і сечовипускання, як правило, не порушуються. Колір сечі стає темним тільки при механічної жовтяниці. Температура тіла нормальна або субфебрильна. Висока лихоманка і озноб бувають при ускладнених формах захворювання - холангите, перитоніті, нерівезікальном гнійнику.

Часто хворі пов'язують початок нападу з вживанням жирної, гострої або переїдання. Більше половини хворих вказують на раніше траплялися подібні напади, на випадки госпіталізації для обстеження або лікування Ж КБ і її ускладнень.

Переважна частина хворих старше 60 років мають супутні захворювання. Слід акцентувати увагу на дихальної, серцево-судинної, ниркової недостатності, непереносимості лікарських препаратів, алергічному статус. Ці дані можуть впливати на вибір лікувальної тактики.

Огляд. При огляді хворого звертають увагу на загальний стан, психічний статус, наявність надмірної ваги, колір шкіри, частоту пульсу, артеріальний тиск.

При пальпації живота виявляється локальна болючість і напруження черевної стінки в правому підребер'ї. Іноді вже при поверхневій пальпації визначається збільшений, напружений, різко болючий жовчний міхур (це дуже достовірна ознака гострого холециститу).

При пальпації живота виявляють такі симптоми.

симптом Кера полягає в посиленні болю в правому підребер'ї при глибокому вдиху, коли діафрагма, скорочуючись, зрушує печінку разом з жовчним міхуром вниз, він виходить з-під реберної дуги і стає більш доступним для пальпації. Часто в цей момент вдається пропальпі- ровать збільшений, напружений, болючий жовчний міхур, що прослизає під пальцями.

симптом Мерфі аналогічний симптому Кера, але відрізняється технікою виконання. Великий палець лівої кисті лікар поміщає нижче реберної дуги, в місці проекції дна жовчного міхура, а решта пальців - по краю реберної дуги. Якщо глибокий вдих хворий перериває через посилення болю в правому підребер'ї, то симптом Мерфі позитивний.

Симптом Грекова - Ортнера полягає в тому, що при легкому поко- лачіваніі ребром долоні по правій реберної дузі з'являється біль в області жовчного міхура. Рекомендується порівняти відчуття хворого при постукуванні по лівій реберної дузі.

Симптом Щеткіпа - Блюмберга - посилення хворобливості в пальпируемой зоні при різкому вилучання руки від живота хворого. Це універсальний симптом подразнення очеревини, який використовується при всіх запальних захворюваннях органів черевної порожнини.

Симптом Мюссе - Георгієвського (френикус-симптом) полягає в хворобливості при пальпації в надключичній області в точці, розташованій між ніжками грудино-ключично-соскоподібного м'яза праворуч. Відображає роздратування діафрагмального нерва при скупченні випоту під правим куполом діафрагми. Цей симптом опосередкований, малоінформативне і рідко використовується абдомінальними хірургами.

Таким чином, неускладнені форми гострого холециститу характеризуються приступом болів у правому підребер'ї, часто пов'язаних з прийомом їжі, рефлекторної блювотою, хворобливістю при пальпації і напругою м'язів черевної стінки в правому підребер'ї, позитивними симптомами Кохера, Мерфі, Грекова - Ортнера. Поступово інтенсивність болю може стихати, захисне напруження м'язів передньої черевної стінки зменшуватися, в зв'язку з чим більш чітко може пальпувати збільшений, напружений і болючий жовчний міхур.

Бескаменние форми гострого холециститу не мають специфічних ознак і до операції можуть виставлятися лише приблизно (зв'язок з травмою, операцією, гострий інфаркт міокарда в поєднанні з тривалою гіпотонією, старечий вік, відсутність каменів але даними УЗД при чіткої клінічної картині гострого холециститу). Для визначення тактики це не має істотного значення, оскільки бескаменние форми гострого деструктивного холециститу більшою мірою підлягають хірургічному лікуванню.

Діагноз ускладнених форм гострого холециститу можна поставити на підставі поєднання клінічних ознак захворювання з місцевими або поширеними симптомами подразнення очеревини, ознаками інтоксикації (гіпертермія, тахікардія, високий лейкоцитоз), механічною жовтяницею і холангітом, пальпованою, болючим освітою в правому підребер'ї або епігастральній ділянці.

Іноді виникають труднощі діагностики гострого холециститу, пов'язані з особливостями анатомічної будови або фізіологічного статусу хворого, наприклад високим розташуванням печінки, коли жовчний міхур знаходиться значно вище реберної дуги, прикритий краєм печінки або оточуючими тканинами. Також труднощі діагностики можуть бути пов'язані зі старечим віком, розладами психіки, важкими супутніми захворюваннями, що утрудняють опитування і огляд хворого. Для таких пацієнтів особливо великого значення набувають лабораторні та інструментальні методи діагностики.

Лабораторні та інструментальні методи діагностики. В аналізі крові спостерігається лейкоцитоз, тим вищий, чим виражено і поширеніший запальний процес в подпеченочном просторі.

При значній інтоксикації може спостерігатися зсув лейкоцитарної формули вліво і токсична зернистість нейтрофілів. При тривалому перебігу захворювання відзначається підвищення швидкості осідання еритроцитів (ШОЕ).

В аналізі сечі при неускладненому гострому холециститі і відсутності супутньої ниркової патології зазвичай не зустрічається грубих відхилень від нормальних показників. У той же час поява білка, уробіліну, жовчних пігментів, глюкози, еритроцитів, лейкоцитів може виявитися проявом важкої інтоксикації, наявності ускладнень гострого холециститу, печінкової і ниркової недостатності.

Всім хворим з підозрою на билиарную патологію проводиться біохімічне дослідження крові з оцінкою вмісту білірубіну, аснартат- і аланінамінотрансферази (трансамінази), сечовини, креатиніну, амілази, глюкози, протромбіну. Підвищення рівня білірубіну може бути наслідком як паренхиматозного ураження печінки, так і механічного перешкоди відтоку жовчі. У другому випадку при високому загальному рівні білірубіну превалює його пов'язана (пряма) фракція. Підвищення загального білірубіну вище 100 мколь / л, трансаміназ, сечовини, зниження протромбіну, альбуміну вказують на розвивається печінкову недостатність. При вираженій печінковій недостатності може відбутися падіння до критичного рівня протромбінового індексу (нижче 40-30%). Це загрожує холемічного кровотечею через гіпокоагуляції (наслідок різкого зниження білково-синтетичної функції печінки). Підвищення рівня сечовини і креатиніну, зниження погодинного і добового діурезу свідчать про розвиток ниркової недостатності.

Всім хворим, особливо пацієнтам літнього і старечого віку, необхідно проводити дослідження серцево-судинної системи (з використанням електрокардіографії), дихальної системи (із застосуванням рентгенографії легких), видільної системи.

Для діагностики біліарної патології широко використовуються неінвазивні (ультразвукове дослідження, комп'ютерна та магнітно-резонансна томографія) і інвазивні (ендоскопічна ретроградна пан- креатохолангіографія, черезшкірна чреспеченочнаяхолангіографія) методи променевих досліджень. Завдяки їх застосуванню точність діагностики підвищилася до 95-98%.

Найбільш поширений метод дослідження жовчного міхура і жовчних проток - ультразвукове дослідження (УЗД). Його переваги:

Ехографія дозволяє оцінити розміри жовчного міхура, товщину його стінки, наявність конкрементів в просвіті, а також ширину проток, розміри і щільність печінки і підшлункової залози, наявність в них вузлів і кіст, рідини в черевній порожнині. Інформативність УЗД менш достовірна для оцінки вираженості запального процесу в жовчному міхурі, ступеня деструкції його стінки, залученості в процес сусідніх органів, характеристики вмісту черевної порожнини (рис. 18.1). Звичайно, чим вища кваліфікація дослідника, тим вище роздільна здатність методу.

Ультразвукова діагностика гострого холециститу

Мал. 18.1. Ультразвукова діагностика гострого холециститу:

Модифікацією даного методу виступає ендоскопічне УЗД, що підвищує чутливість діагностики патології жовчних проток і БДС. Внутрііротоковое УЗД, яке виконується за допомогою гнучких датчиків, що проводяться через робочий канал ендоскопа, дозволяє виявити пухлини і конкременти жовчних проток з точністю до 98%.

Ще одне важливе дослідження - фіброгастродуоденоскопія (ФГДС). Вона дозволяє оцінити стан слизової оболонки шлунка і ДПК. При дуоденоскопіі можна оглянути БДС, виявити його патологічні зміни, наявність вклиненням в сосочок каменів, наявність або відсутність надходження жовчі в ДПК.

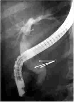
Крім огляду БДС може бути виконана ендоскопічна ретроградна холангіопанкреатографія (ЕРХПГ), яка в значній мірі (до 98-100%) розширює відомості про патологію жовчовивідних шляхів (рис. 18.2). ЕРХПГ проводиться шляхом кашолірованія БДС під контролем дуоденоскопа з подальшим введенням в жовчні протоки контрастної речовини і виконанням рентгенівського дослідження. При необхідності діагностичний етап дослідження може перейти в лікувальний - розсічення іапілли з метою створення вільного відтоку жовчі в кишку (ендоскопічна папиллосфинктеротомия - ЕПСТ), видалення каменів з жовчних проток (літоекстракція), постановка дренажної трубки в жовчний протік з виведенням її через ніздрю (назобі - ліарное дренірваніе).

Ендоскопічна ретроградна холангіопанкреатографія. Камені в розширеному холедохе (вказані стрілками)

Мал. 18.2. Ендоскопічна ретроградна холангіопанкреатографія. Камені в розширеному холедохе (вказані стрілками)

При неможливості здійснити ЕРПХГ (попередня резекція шлунка по Більрот-П, неможливість канюліровать БДС) може бути виконана черезшкірна чреспеченочнаяхолангіографія - ЧЧХГ (рис. 18.3). У хворих з механічною жовтяницею і холангітом діагностичний етап завершується лікувальним: чреспеченочной холангіо- Стома (ЧЧХС) для купірування біліарної гіпертензії, холангіту і підготовки хворого до основного етапу лікування - лапароскопічної або відкритої санації жовчних шляхів.

Черезшкірна чреспеченочнаяхолангіографія

Мал. 18.3. Черезшкірна чреспеченочнаяхолангіографія.

Видно розширені внутрішньо-і позапечінкові жовчні протоки (/), камінь холедоха (2). Контраст не надходить в ДПК

В останні роки, завдяки розвитку медичної техніки, для діагностики захворювань гепатобіліарної зони все ширше застосовуються комп'ютерна томографія (КТ) та магнітно-резонансна холангіопанкреатографія - МРХПГ (рис. 18.4). МРХПГ незамінна в діагностиці причин механічної жовтяниці, так як по інформативності порівнянна з ЕРПХГ і ЧЧХГ, але має важливу перевагу - неінвазивний.

Магнітно-резонансна холангіопанкреатографія

Мал. 18.4. Магнітно-резонансна холангіопанкреатографія.

Видно розширені позапечінкові жовчні протоки, конкременти в холедохе (вказані стрілкою)

Лапароскопія. Збільшений напружений жовчний міхур

Мал. 185. Лапароскопія. Збільшений напружений жовчний міхур

Для уточнення діагнозу в сумнівних випадках застосовують діагностичну лапароскопію (рис. 18.5). Її перевага - можливість візуального дослідження стану стінки жовчного міхура, печінки, виявлення випоту в черевній порожнині. При підтвердженні гострого холециститу діагностичний етап дослідження відразу може перейти в лікувальний - виконання лапароскопічної холецистектомії (ЛХЕ).

Недолік лапароскопії - необхідність введення в черевну порожнину декількох літрів вуглекислого газу, що може погіршувати стан літніх і ослаблених хворих.

Методи діагностики холедохолітіазу, механічної жовтяниці, холан- Гіта такі ж, як для гострого холециститу. У клініколабораторних дослідженнях слід звернути увагу на наявність болю в епігастральній ділянці (холедохеальная колька), озноб, підвищення температури тіла до 38 ° С і вище, поява желтушности склер і шкірних покривів, значне підвищення числа лейкоцитів, білірубіну (пов'язаного), трансаміназ в крові. За даними УЗД є ознаки біліарної гіпертензії (збільшення жовчного міхура, розширення внутрішньо-і позапечінкових жовчних проток). Іноді в розширеному холедохе можуть визначатися конкременти. Для підтвердження діагнозу і диференціальної діагностики можуть використовуватися рентгенокоптрастние методи (ЧЧХГ, ЕРПХГ), МРТ або лапароскопія.

Гострий біліарний панкреатит - захворювання, пов'язане з порушенням відтоку панкреатичного соку внаслідок обтурації дистального відділу холедоха каменем або рефлекторним спазмом БДС. Воно проявляється різким болем в епігастральній ділянці та правому підребер'ї, на механічну жовтяницю, ознобом, підвищенням температури тіла, нудотою, блювотою, вираженою інтоксикацією. В аналізах крові характерні значне збільшення числа лейкоцитів, паличкоядерних зсув, збільшення вмісту білірубіну і амілази в крові. УЗД свідчить про біліарної гіпертензії, збільшенні розмірів і розмитості контурів підшлункової залози, іноді про наявність конкременту в дистальному відділі холедоха, що чітко можна виявити при МРХПГ.

Таким чином, різноманіття високоінформативних методів діагностики гострого холециститу і його ускладнень сприяє точному виявленню всіх особливостей захворювання в найкоротші терміни з моменту госпіталізації хворого.

Диференціальна діагностика. В ході опитування та огляду хворого з великим ступенем ймовірності виявляються можливі захворювання, що вимагають диференціальної діагностики і виконання ряду лабораторних та інструментальних методів дослідження, що уточнюють діагноз. З огляду на, що основний симптом гострого холециститу - це напад болів в правому підребер'ї, диференційний діагноз слід проводити з захворюваннями, що супроводжуються подібними болями: перфоративного виразкою, загостренням виразкової хвороби ДПК і шлунка, гострим панкреатитом, гострим апендицитом, гострим інфарктом міокарда (абдомінальна форма), правобічної нижнедолевой пневмонією, правобічної ниркової колькою.

При перфорації гастродуоденальної виразки болю виникають у верхніх відділах живота, епігастрії та правому підребер'ї, можлива іррадіація болів вгору за рахунок роздратування діафрагми кислим шлунковим вмістом. На відміну від холециститу, болі дуже інтенсивні (кинджальний біль), швидко поширюються по всьому животу. У ряду хворих перфоративного виразкою є виразковий анамнез. При обстеженні звертає на себе увагу: розлитої характер болю, швидка поява ознак перитоніту, відсутність або значне обмеження печінкової тупості. Великою підмогою для установки діагнозу служить оглядова рентгенографія органів черевної порожнини, при якій у 40-60% хворих перфоративного виразкою виявляється скупчення вільного газу під куполом діафрагми (при вертикальному положенні хворого) або по боковому каналу (при положенні на боці).

У сумнівних випадках, особливо при передбачалося прикритої перфорації, встановити діагноз дозволяє екстрена ФГДС або лапароскопія. Цінні дані, характерні для гострого холециститу, отримують при УЗД.

При загостренні виразкової хвороби ДПК можуть спостерігатися подібність болів по локалізації та інтенсивності, наявність диспепсичних явищ, зв'язок виникнення нападу з прийомом їжі, порушенням дієти. Однак при загостренні виразкової хвороби дванадцятипалої кишки часто бувають печії, нічні болі, які знімаються прийомом їжі або соди. Часто хворі знають про своє захворювання, неодноразово проходили стаціонарне обстеження і лікування. Для диференціальної діагностики використовуються ФГДС та УЗД.

При гострому панкреатиті болю локалізуються у верхніх відділах живота, вони часто оперізуючого характеру, супроводжуються блювотою. Захворювання починається після похибки в дієті або вживання алкоголю. Під час огляду живота виявляється болючість і виповненість в епігастральній ділянці, а при важких формах - перитонеальні явища по всьому животу з вираженою інтоксикацією (ферментативний перитоніт). Підтверджують діагноз дані УЗД (збільшення в розмірах, ущільнення тканини залози, розмитість контурів), підвищення рівня амілази в крові, сечі і випоті черевної порожнини.

Для гострого апендициту характерні симптом Кохера, локальна болючість в правому мезогастрии або клубової області, підвищення температури тіла, пальпаторне аппендікулярние симптоми. Для уточнення діагнозу використовуються УЗД або лапароскопія.

Диференціальна діагностика може знадобитися при абдомінальній формі інфаркту міокарда, коли гострі болі відзначаються не тільки за грудиною, але поширюються на епігастральній ділянці. Болі часто пов'язані з фізичним навантаженням, підйомом артеріального тиску, порушенням ритму серцевої діяльності. При цьому в животі не пальпується болючий інфільтрат, немає відповідних симптомів та напруги передньої черевної стінки. В якості супутньої патології хворі відзначають серцево-судинні захворювання. Для уточнення діагнозу в основному використовуються електрокардіографія (ЕКГ) і УЗД, а також аналіз крові на тропонин (досить специфічний маркер інфаркту міокарда).

При правобічної плевропневмонії можуть спостерігатися інтенсивний біль в правому боці і напруга м'язів в правому верхньому квадранті живота. При цьому болі пов'язані з дихальними екскурсіями, посилюються при глибокому вдиху, поєднуються з кашлем, лихоманкою. Допомагають уточнити діагноз рентгенограма грудної клітини та УЗД.

Правобічна ниркова колька характеризується гострою боли в правій поперековій області, дизуричні явищами, болючим покола- чівапіем по поперекової області з правого боку. Хворі часто вказують на сечокам'яну хворобу і раніше траплялися напади ниркової коліки. Підтвердити діагноз допомагають аналіз сечі (гематурія) і УЗД.

  1. Амінокислоти - нейрофізіологія
    Медіатори-амінокислоти в нервовій системі поділяються на збуджуючі і гальмівні. До збудливим відносяться аспарагінова і глутамінова амінокислоти, а до гальмівним - ГАМК і гліцин. Глутамінова кислота. Глутамінова кислота, або глутамат, утворюється в мозку з глюкози. Найбільше глутамату в кінцевому
  2. Амінокислоти і пептиди в промисловості та медицині - біохімія
    Щорічно в світі виробляється більше 200 тис. Тонн амінокислот, які використовуються в основному як харчові добавки і компоненти кормів для худоби. Традиційним промисловим методом їх отримання є ферментація, однак все більшого значення набувають хімічні і особливо ферментативні методи синтезу
  3. Аліментарні захворювання - фізіологія харчування
    Аліментарні захворювання - захворювання, обумовлені недостатнім і (або) надмірною у порівнянні з фізіологічними потребами надходженням в організм людини харчових речовин. До аліментарним захворювань, обумовленим недоліком харчових речовин, відносяться білкова недостатність, білково-енергетична,
  4. Алгоритм дії медсестри при проведенні уфо - сестринський догляд в фізіотерапевтичної практиці
    A. Підготовка оснащення до процедури 1. Використання завчасно включеного апарату або включеного зазначеного лікарем іншого апарату і прогрів гомілки (10-15 хвилин). 2. Вибір апарату, вибір опромінювача (місце), відстань опромінювача. Б. Підготовка пацієнта до процедури 1. Провести психологічну
  5. Активні центри ферментів - біохімія
    У простих ферментів каталітичну функцію здійснюють безпосередньо білки. В реакції з субстратом бере участь не вся поліпептід- ная ланцюг, а всього лише кілька амінокислотних залишків, як правило, розташованих на значній відстані один від одного у поліпептидному ланцюзі. У процесі формування
  6. Акселерація - вікова анатомія і фізіологія
    Однією з особливостей росту і розвитку дітей нашого часу можна вважати процеси акселерації. В останні 10-річчя у всіх країнах світу відбулися суттєві зміни у фізичному розвитку дітей: збільшилися антропометричні показники, відзначаються прискорення розвитку і раннє настання статевої зрілості
  7. 74. Етіологія - факультетська хірургія
    Численні етіологічні фактори ОКН прийнято ділити на привертають і виробляють. До сприяючих чинників відносять вроджені та набуті анатомічні особливості, які за певних умов можуть сприяти порушенню просування кишкового вмісту: дивертикул Меккеля, загальна брижа клубової і сліпої кишок, долихосигма,
  8. 65. Класифікація - факультетська хірургія
    Класифікація перитоніту будується на принципах поширеності процесу по очеревині і обліку динаміки запалення. Оцінка цих обставин має велике значення для визначення хірургічної тактики і аналізу результатів лікування. В даний час використовується классификационно-діагностична схема, що дозволяє
© 2014-2022  ibib.ltd.ua