Головна
Cоціологія || Гуманітарні науки || Мистецтво та мистецтвознавство || Історія || Медицина || Науки про Землю || Політологія || Право || Психологія || Навчальний процес || Філософія || Езотерика || Екологія || Економіка || Мови та мовознавство
ГоловнаМедицина → Факультетская хірургія
««   ЗМІСТ   »»

КЛІНІЧНА КАРТИНА І ДІАГНОСТИКА

Ферментативна фаза. При гострому панкреатиті найбільш часто зустрічається больовий синдром. Болі локалізуються в епігастральній ділянці, лівому і правому підребер'ї і носять оперізувальний характер. Як уже зазначалося, описаний больовий синдром не може бути куповані за одну добу: якщо на наступну добу після надходження хворого купировались біль у животі, то мав місце не гострий панкреатит, а «панкреатична колька» або інше захворювання.

Іншим характерним симптомом гострого панкреатиту служить нестримне блювання, що не приносить хворому полегшення.

У ферментативної фазі температура тіла нормальна або субфебрильна; висока температура характерна для гнійних ускладнень ОП.

Шкіра зазвичай блідого кольору, при вираженому ендотоксикозі з'являється гіперемія обличчя - «нездоровий рум'янець» на щоках (серотониновая реакція), при гемодинамічних порушеннях - ціаноз і акроціаноз, при біліарної обструкції (здавленні холедоха набряку головкою підшлункової залози або обтурації його конкрементом) - жовтяниця. При великому просяканні геморагічним ферментативним ексудатом спочатку забрюшін- ної, а потім підшкірної клітковини визначаються характерні симптоми: Грея Тернера - просочування геморагічним ексудатом підшкірної клітковини лівої бокової стінки живота, Куллена - в області пупка.

Живіт при огляді роздутий, болючий у всіх відділах, більше в епіга- Стрий, при ферментативному перитоніті можуть виявлятися перитонеальні симптоми: Щоткіна - Блюмберга, Керте (напруга і болючість в епігастральній ділянці і по ходу підшлункової залози), Мейо - Робсона (болючість в лівому реберно-хребетному куті). Перистальтика різко ослаблена або не вислуховується.

Для важких форм гострого панкреатиту характерні тахікардія або брадикардія, зниження артеріального тиску, тахіпное, олігурія або анурія.

В аналізі крові слід звертати увагу на гемоконцентрацию (підвищення рівня гемоглобіну), лейкоцитоз із зсувом вліво, лімфо співу, гіперглікемія, гиперамилаземию, гипербилирубинемию, високий рівень аспартат- і аланінамінотрансферази, креатиніну, сечовини. Крім того, можлива поява глюкозурії, протеїнурії, гііерамілазу- рії. Дані ознаки допомагають верифікувати важкий ОП.

З інструментальних методів показані ультрозвуковое дослідження (УЗД), рентгенографія черевної та грудної порожнини, фіброгастродуоде- носкопія (ФГДС), електрокардіографія (ЕКГ).

У ряді випадків клінічна картина ОП супроводжується появою перитонеальной симптоматики, що пояснюється розвитком ферментативного перитоніту, який може підтверджуватися даними УЗД (наявність вільної рідини в черевній порожнині). У цих випадках показана діагностична лапароскопія. При неможливості виконання лапароскопії показаний лапароцентез з подальшим дослідженням отриманого ексудату на активність амілази.

Підставою для встановлення діагнозу «гострий панкреатит» (після виключення іншої хірургічної патології) служить поєднання як мінімум двох з наступних виявлених ознак:

Якщо діагноз «гострий панкреатит» встановлюється на підставі перерахованих вище методів, то виконання мультіспіральной комп'ютерно-томографічної ангіографії (МСКТ) або магнітно-резонансної томографії (МРТ) для постановки діагнозу не потрібно.

Наступна важлива задача для клініциста - визначення ступеня тяжкості ОП. Для оцінки тяжкості гострого панкреатиту і прогнозу розвитку захворювання можливе застосування багатьох шкал критеріїв первинної експрес-оцінки тяжкості ОП.

Найбільш зручною є наступна шкала:

Якщо у пацієнта є мінімум п'ять ознак з числа перерахованих, то з імовірністю 95% у нього є важка форма ОП. Якщо присутній від двох до чотирьох ознак, значить, має місце ОП середнього ступеня тяжкості. Якщо немає жодної ознаки або є тільки один з них - хворий страждає легкою формою ОП.

Найбільш важливо раннє виявлення важкого панкреатиту, результати лікування якого багато в чому обумовлені терміном його початку. Наявність хоча б двох ознак, перерахованих в шкалі експрес-оцінки, дозволяє діагностувати середньотяжкі або важкий ОП, при яких хворий підлягає обов'язковому направленню до відділення реанімації та інтенсивної терапії. Іншим пацієнтам (легкий ОП) показана госпіталізація в хірургічне відділення.

Для оцінки органних і поліорганних дисфункцій можна використовувати многопараметричні шкали: SOFA, APACHE II, Ranson.

Реактивна фаза. У реактивної фазі захворювання відбувається еволюція некрозів, що утворилися в самій підшлунковій залозі і парапан- креатічної клітковині на попередній стадії, т. Е. В ферментативної фазі. Дана фаза характеризується реакцією організму, яка реалізується в міграції нейтрофілів, моноцитів та інших фагоцитів до некротизованихтканин і створенні лейкоцитарного валу, запуску процесу «переробки та утилізації» некротичних тканин, що макроскопічно виявляється у вигляді періпанкреатічної інфільтрату. Можливо кілька варіантів результатів даної реакції:

Виявлення періпанкреатічної інфільтрату на другому тижні захворювання свідчить про те, що у хворого має місце саме гострий деструктивний панкреатит, т. Е. Панкреонекроз.

Періпанкреатічної інфільтрат розвивається практично у всіх пацієнтів з панкреонекроз. Виняток становлять хворі, яким в ферментативної фазі захворювання була проведена лапаротомія. В цьому випадку реактивна фаза редукується, і найчастіше практично відразу після ферментативної фази розвиваються гнійні ускладнення. Це пов'язано з ятрогенним інтраопераційним інфікуванням первинно стерильного панкреонекрозу, особливо після установки в сальникову сумку тампонів. У всіх інших випадках у хворих на гострий деструктивний панкреатит, які пережили ферментативну фазу, розвивається періпанкреатічної інфільтрат.

Клінічна картина ОП в реактивної фазі складається з двох компонентів - місцевого і загального:

Незважаючи на наявність синдрому системної запальної реакції (SIRS), панкреонекроз в реактивної фазі має асептичне перебіг.

Моніторинг періпанкреатічної інфільтрату полягає в динамічному дослідженні клініко-лабораторних та ехографічних показників.

В кінці другого тижня захворювання доцільна комп'ютерна томографія живота, так як до цього терміну у переважної більшості пацієнтів спостерігається один з трьох можливих клінічних результатів реактивної фази:

Періпанкреатічної інфільтрат і резорбтивних лихоманка - це

закономірні ознаки реактивної фази деструктивного панкреатиту. При набряковому панкреатиті цих ознак не буває.

Фаза гнійних ускладнень. Формування секвестрів в підшлунковій залозі і парапанкреатічної зоні і їх відторгнення починається до кінця другого - початку третього тижня захворювання. Принципово можливі два варіанти розвитку процесу секвестрации:

Відомі два основних шляхи інфікування ПН: перший - ятрогенний (під час ранньої лапаротомії), другий - транслокація патогенної кишкової мікрофлори в зону ураженої підшлункової залози.

Гній при гнійно-некротичному парапанкреатит, як правило, має темно-коричневий або брудно-сірий колір, рідше буває білим. При розтині протоковой системи підшлункової залози визначається висока ферментативна активність гною. Найпоширеніша «помилкова» стерильність гною пояснюється наявністю в ньому неклостридіальних анаеробів. Найчастіше з гною висівається кишкова флора: кишкова паличка, синьогнійна паличка, протей, золотистий стафілокок, стрептококи. У кожному другому випадку визначаються мікробні асоціації.

Клінічною формою ОП в фазі септичній секвестрации (третій тиждень від початку захворювання і більше) виступає інфікований ПН: відмежований - панкреатичний абсцес (ПА) або неотграніченний - гнійно-некротичний парапанкреатит (ДНВП) різного ступеня поширеності (табл. 19.1).

Таблиця 19.1

Класифікація гнійно-некротичного парапанкреатита за поширеністю

Тип

опис

А

одиничний абсцес

В

множинні абсцеси

З

Зливна некротична флегмона

D

Зливна некротична флегмона з поширенням по клітковині пара- колон праворуч або ліворуч

Е

Зливна некротична флегмона з поширенням по клітковині пара- колон праворуч і ліворуч

ДНВП за обсягом ураження значно перевершує інфікований ПН, тому на даній стадії захворювання власне панкреонекроз робить набагато менший вплив на патофізіологічні процеси розвитку захворювання, ніж гнійно-некротичне ураження заочеревиннійклітковини (парапанкреатічної і віддаленій від підшлункової залози).

Критерії діагностики інфікованого панкреонекрозу та ДНВП:

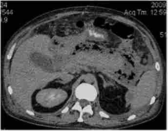
Комп'ютерні томограми хворих гнійно-некротичним нарапанкреатітом різного ступеня поширеності

Мал. 19.1. Комп'ютерні томограми хворих гнійно-некротичним нарапанкреатітом різного ступеня поширеності:

а - тип З - гнійно-некротичні тканини навколо підшлункової залози в межах електронні сумки; б - тип D зліва - поширення по паракольной клітковині зліва; в - тип D праворуч - поширення по паракольной клітковині справа; г - тип Е - поширення по паракольной клітковині зліва і справа

Бульбашки газу в періпанкреатічної клітковині

Мал. 19.2. Бульбашки газу в періпанкреатічної клітковині

У разі, коли методами 2 і 3 не вдається виявити ознаки інфікування, рішення про наявність у пацієнтів гнійних ускладнень і показань до оперативного лікування приймається на підставі клініко-лабораторного мінімуму (1а).

  1. Амінокислоти і їх значення в харчуванні - фізіологія харчування
    Основними складовими частинами і структурними елементами білкової молекули є амінокислоти. Білки їжі, поступово в організм, розщеплюються до амінокислот, які потім використовуються для синтезу специфічних людських білків. Біологічна цінність білків обумовлена їх амінокислотним складом. Розрізняють
  2. Амінокислоти і пептиди, структура і класифікація амінокислот - біохімія
    Амінокислоти є карбоновими кислотами, що містять амінну і карбоксильну групи, які знаходяться у одного і того ж вуглецевого атома. В організмі людини виявлено близько 70 амінокислот, причому 20 з них входять до складу білків. Це так звані Протеїногенні амінокислоти. Стосовно до амінокислот
  3. Алгоритм виконання УВЧ-терапії - сестринський догляд в фізіотерапевтичної практиці
    1. Ознайомитися з призначенням лікаря. 2. Застосовується апарат «УВЧ-66» або «УВЧ-70». 3. Встановити на апараті конденсаторні пластини потрібного діаметру (№ 1, № 2 або № 3). 4. Посадити пацієнта в зручну для проведення процедури позу, при цьому його ноги повинні знаходитися на гумовому килимку
  4. Алгоритм дії медсестри при проведенні процедури інфрачервоного опромінення - сестринський догляд в фізіотерапевтичної практиці
    А. Підготовка до проведення процедури 1. Ознайомлення з призначенням лікаря. 2. Інформування про самопочуття хворого. 3. Надання хворому потрібної пози. 4. Огляд області опромінення. 5. Попередження хворого про інтенсивність відчутті тепла. Б. Проведення процедури 1. Установка опромінювача
  5. Активація та рекогніція амінокислот - біохімія частина 2.
    Велика частина пулу амінокислот в цитоплазмі клітин знаходиться не у вільному стані, а у вигляді аміноацил-тРНК. Це охороняє амінокислоти від метаболічних перетворень і сприяє збереженню набору амінокислот для синтезу білка. Утворенню комплексу амінокислота-тРНК передує активація амінокислоти
  6. Аеробне окислення вуглеводів. Цикл трикарбонових кислот, загальна характеристика - біохімія
    Більшість організмів в біосфері знаходяться в аеробних умовах. У присутності кисню в організмі відбувається повне «спалювання» вуглеводів і інших молекул «клітинного палива» до кінцевих продуктів - С0 2 і Н 2 0. Мал. 19.1. Схема повного окислення глюкози до шести молекул С0 2 і енергетична
  7. 73. Етіологія - факультетська хірургія
    За етіології виділяють первинні, вторинні і третинні перитоніти. при первинних перитонитах мікрофлора в черевну порожнину потрапляє гематогенним, лімфогенним шляхом або через маткові труби. Частота первинних перитонитов, за даними літератури, невисока і складає близько 1%. Абсолютна більшість
  8. 64. Клінічна картина - факультетська хірургія
    Клінічна картина і діагностика хірургічної інфекції ґрунтуються на виявленні місцевих та загальних ознак захворювання. Місцева реакція організму проявляється симптомами, що характеризують розвиток запальної реакції: почервоніння, місцеве підвищення температури, формування набряку в зоні вегетації
© 2014-2022  ibib.ltd.ua